На сайте используются cookies. Продолжая использовать сайт, вы принимаете условия
Ok
1 Подписывайтесь на Газету.Ru в MAX Все ключевые события — в нашем канале. Подписывайтесь!
Все новости
Новые материалы +

Власти Крыма опровергли информацию о падении интереса туристов к курорту

Информация о падении интереса российских отдыхающих к Крыму является недостоверной, заявил председатель госсовета Республики Крым Владимир Константинов, передает ТАСС.

«Я считаю, что это ложная информация. В этом году мы ожидаем, это сверенные цифры, порядка 6,5–7 млн отдыхающих. Это будет рекорд, поставленный с момента распада СССР, а не только украинский рекорд в 6 млн», — сказал он, отметив, что во времена СССР достигался рекорд в 10 млн человек.

По его словам, такую нагрузку крымская инфраструктура еще не несла, поэтому власти готовятся заранее.

Константинов отметил, что Крым ждет китайских граждан.

«Нам нужен китайский турист, китайский инвестор, китайские технологии», — подытожил он.

Ранее СМИ сообщали, что Крым теряет популярность среди туристов, которые предпочитают более развитую инфраструктуру Сочи.

Новости и материалы
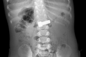
Годовалый ребенок попал в больницу, проглотив металлический болт
Важность шапки зимой часть переоценивают, заявил иммунолог
РПЛ изменила расписание 19-го тура РПЛ
В США предупредили покупателей нефти из России о пошлинах в 500%
Гость на свадьбе Бруклина Бекхэма раскрыл правду о его «неподобающем» танце с матерью
Лили Аллен попала в ДТП с фурой на машине за 11 млн рублей: «Спасибо, что живая»
Зеленский оценил адресованное Украине приглашение вступить в «Совет мира»
Путин дал поручение главе Адыгеи
Дело завели после того, как в Брянске двое детей провалились под лед на тюбинге
Макрон обвинил США в желании ослабить Европу
Россиянам перечислили продукты, которые вызывают отеки
ЕС готовит торговое соглашение с Индией
Известного певца заподозрили в сексуальном насилии над 10-летней падчерицей
В минэномики Украины раскрыли сумму, нужную на экстренные потребности энергосистемы страны
В Турции ждут мать пловца Свечникова для ДНК-теста
Шестилетняя девочка одна из всей семьи спаслась в катастрофе в Испании
Юному белгородцу предъявили обвинение в призывах к терроризму
«Оскорбила чувства верующих»: экс-жену Диброва пристыдили за видео в бикини на Крещение
Все новости
Не поручайте это нейросетям. Где автоматизация может обернуться катастрофой
Теперь вы знаете