В Москве ребенок во время игры случайно проглотил кулон

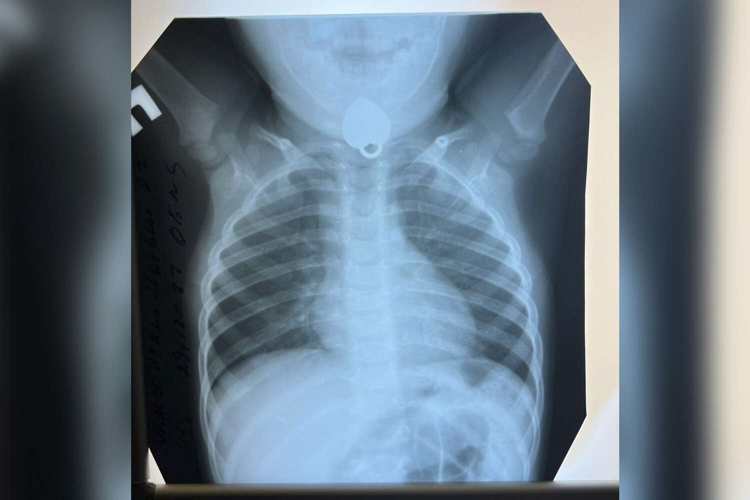
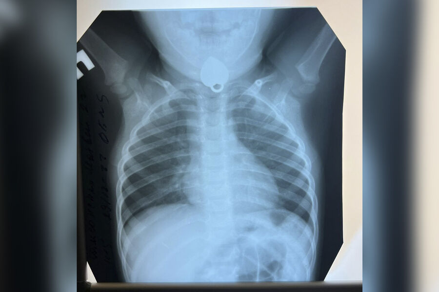
В Москве врачи извлекли из пищевода маленького пациента кулон. Об этом сообщает Telegram-канал Детской больницы №9 им. Г.Н. Сперанского.

Ребенок случайно проглотил кулон во время игры с украшением. Это заметили родители и отвезли его в больницу, где хирурги осмотрели ротовую полость. В преддверии пищевода медики обнаружили инородный предмет и извлекли его специальными щипцами.

Отмечается, что операция заняла всего несколько минут.

«К счастью, у маленького пациента не наблюдалось выраженных повреждений слизистой», — говорится в сообщении Telegram-канала больницы.

Ранее сообщалось о том, что в Свердловской области трехлетний ребенок проглотил сверло от бормашины во время приема стоматолога.

Поделиться:
Загрузка