Семья и дети
Размер текста
А
А
А

Московские врачи спаси ребенка с желчным, набитым камнями

В Москве врачи спасли девочку с огромным количеством камней в желчном пузыре
true
true
true

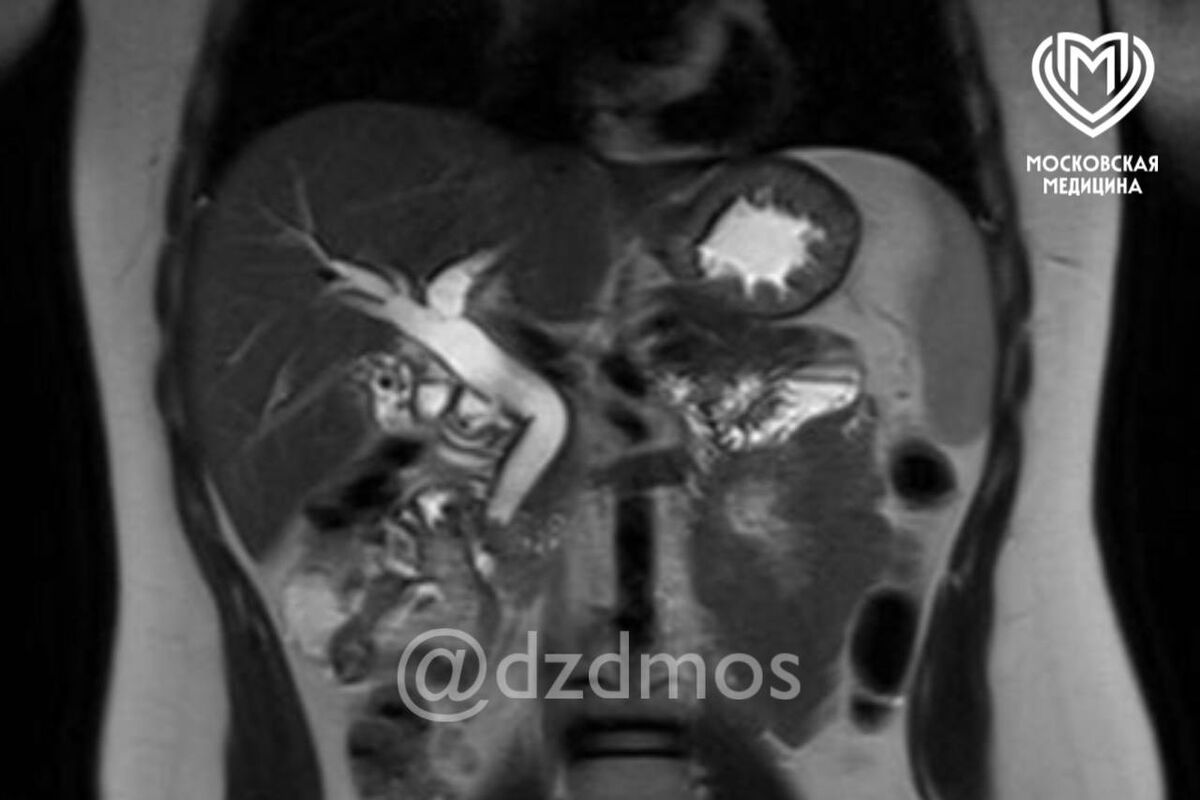
Врачи больницы имени Сперанского в Москве спасли девочку с огромным количеством камней в желчном пузыре. Об этом сообщили в пресс-службе департамента здравоохранения столицы.

Ребенок поступил в медицинское учреждение с болями в животе, рвотой и общей слабостью. Обследование показало, что в желчном пузыре ребенка скопилось огромное количество камней диаметром до 3 мм. Один из них перекрыл общий желчный проток, что угрожало жизни девочки.

Медики пояснили, что застрявшие в общем желчном протоке камни вызывают нарушение оттока желчи из печени — это приводит к развитию желтухи, начинает страдать печень, как и в случае с юной пациенткой. В тяжелых формах, как отметили специалисты, может развиться воспаление поджелудочной железы.

«Ребенку сделали эндоскопическую папиллосфинктеротомию: специальным аппаратом рассекли сосочек, впадающий в желчный проток, расширили его мышечное кольцо и извлекли камень. Вторым этапом удалили желчный пузырь, полностью забитый камнями», — рассказали в пресс-службе депздрава.

Сейчас девочка чувствует себя хорошо, ее на днях выписали домой.

Ранее в Чувашии врачи спасли мальчика, которого укусила гадюка.

Что думаешь?
Загрузка