Размер шрифта
Новости Спорт
Выйти
США и Израиль атаковали ИранБлокировка TelegramПереговоры о мире на Украине
Семья и Дети

У московской школьницы случайно нашли в печени кисты с паразитами

В Москве врачи спасли школьницу с паразитарными кистами в печени

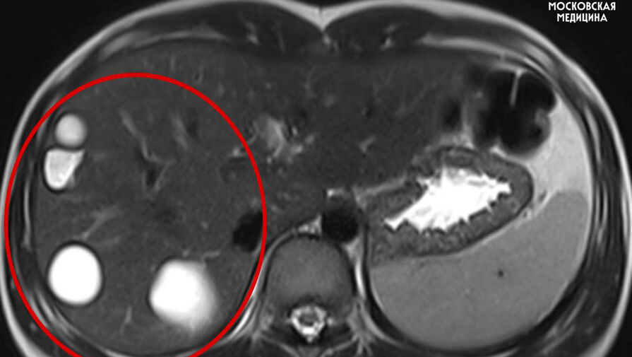
Врачи больницы имени Сперанского спасли 14-летнюю девочку с множеством паразитарных кист в печени. Об этом сообщили в пресс-службе столичного департамента здравоохранения.

Кисты медики обнаружили случайно во время планового обследования. После этого ребенка направили на операцию.

«Как правило, эхинококкоз выявляется на поздних стадиях и чаще всего случайно. В большинстве случаев симптомы заболевания неспецифичны: боль, кашель, незначительная температура и ощущение тяжести в животе, аллергические реакции», — пояснил заведующий хирургическим отделением №1, профессор Игорь Хворостов.

Во время вмешательства специалисты удалили пять кист с использованием лапароскопии. Через пять дней после операции пациентку выписали домой.

Ранее в Москве врачи спасли пациента с сердцебиением 300 ударов в минуту.

 
Реклама в Telegram теперь вне закона? Что юристы думают о спорном высказывании ФАС
На сайте используются cookies. Продолжая использовать сайт, вы принимаете условия
Ok
1 Подписывайтесь на Газету.Ru в MAX Все ключевые события — в нашем канале. Подписывайтесь!