Размер шрифта
Новости Спорт
Выйти
Война США и Израиля против Ирана
Наука
ТВЗ

24 года без мозжечка

Китаянка прожила 24 года без мозжечка

Жительница Китая пожаловалась врачам на головокружение и тошноту, а те не смогли найти в ее голове мозжечок. Это первый случай, когда человек смог выжить без столь важной части мозга.

Немало удивила врачей 24-летняя жительница Китая, обратившаяся в больницу провинции Шаньдунь. Замужняя женщина и мать маленькой дочки пожаловалась на головокружение, которое мучает ее уже 20 лет, и продолжавшуюся уже месяц тошноту.

Читайте также
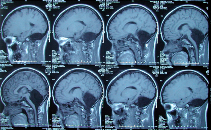
Проведя рутинную томографию мозга, врачи ужаснулись, увидев,

что пациентка полностью лишена мозжечка — важнейшей части мозга, расположенной в задней части черепа. Область, в которой должен находиться мозжечок, оказалась просто заполненной спинномозговой жидкостью.

Мозжечок играет ключевую роль в координации движений и поддержании равновесия. Эта область головного мозга имеет больше нейронов, чем весь остальной мозг.

Родители женщины рассказали, что в детстве их дочь начала уверенно стоять на ногах лишь в четыре года, неуверенно ходить стала лишь в семь лет и так и не научилась ровно передвигаться на ногах за последующие двадцать.

Девочка никогда не прыгала и не бегала, ее речь была несвязной до шести лет, и она никогда не ходила в школу.

Читайте также
Обследование выявило еще ряд нарушений: например, женщина не всегда может дотронуться до носа пальцем руки с завязанными глазами.

«Компьютерная томография и магнитно-резонансная томография не показали никаких следов тканей мозжечка, доказав его полное отсутствие», — резюмировали ученые в статье в журнале Brain, в которой они описали уникальный случай.

Мозжечок (лат. cerebellum — дословно «малый мозг») отвечает также за движения рта и языка, участвующих в речи. Обычно люди с травмой мозжечка испытывают проблемы с моторикой. Но, к удивлению врачей, у женщины из Шаньдуня есть лишь небольшие нарушения в двигательной активности и она слегка несвязно произносит слова. «Этот удивительный феномен демонстрирует пластичность мозга в ранние годы», — отмечают ученые.

«Это показывает, что молодой мозг может быть куда более податливым для адаптации к нарушениям, — считает доктор Радж Нарайан из университетского медицинского центра Норт-Шор в Нью-Йорке. — Когда человек рожден с отклонением или в очень раннем возрасте утрачивает часть мозга, оставшаяся часть пытается подключиться к работе и компенсировать утрату».

Читайте также
По мнению ученых, такая способность мозга к замещению утрачивается с возрастом.

«С возрастом способность мозга противодействовать повреждению становится все боле ограниченной. Так, к примеру, 60-летний человек, лишенный мозжечка, окажется полностью парализованным», — говорит Нарайан. По словам врачей, науке известно восемь случаев, когда у человека отсутствовал мозжечок. Однако в основном это были дети, у которых отмечались умственные отклонения, эпилепсия и масштабные структурные отклонения в строении мозга, и большинство из них не выживали. Вполне возможно, что таких случаев на самом деле гораздо больше и в будущем их можно будет выявить благодаря томографии.

 
Возможные ограничения интернета на майские, канцерогены в воздухе в Туапсе и 200 мертвых чихуахуа. Главное за 29 апреля
На сайте используются cookies. Продолжая использовать сайт, вы принимаете условия
Ok
1 Подписывайтесь на Газету.Ru в MAX Все ключевые события — в нашем канале. Подписывайтесь!