Размер шрифта
Новости Спорт
Выйти
Пожар на стройке в МосквеВойна США и Израиля против Ирана
Наука
ТВЗ

Ветер в голове: воздух вместо части мозга

Врачи обнаружили у мужчины воздух вместо части мозга

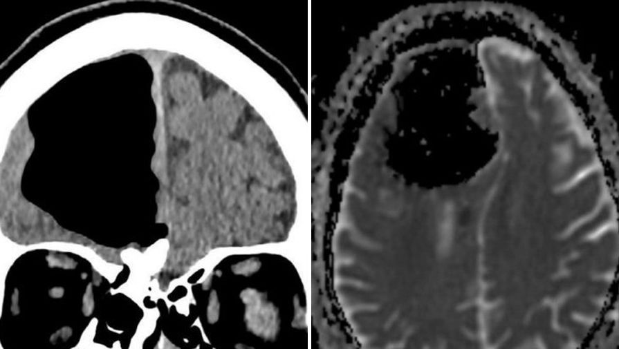
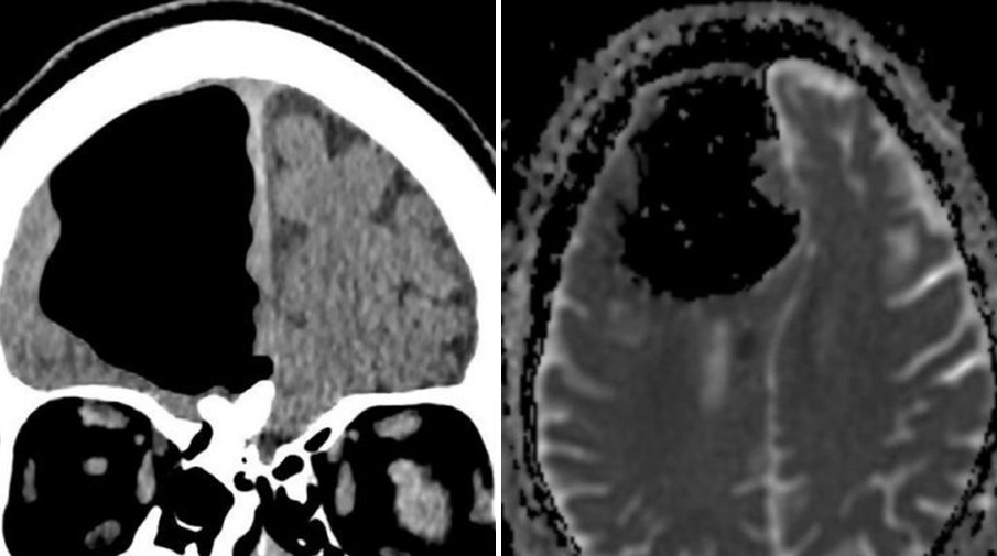
Пустоту вместо правой лобной доли мозга обнаружили врачи у пожилого мужчины, жаловавшегося на проблемы с координацией. Как оказалось, сама лобная доля никуда не делась — в черепе образовалось пневматоцеле, заполненная воздухом полость.

84-летний ирландец обратился к врачу с жалобами на ухудшение координации. Мужчина в течение нескольких месяцев становился все более неуклюжим, спотыкался, падал. А за три дня до приема у него появилась слабость в левой части тела. При этом пациент был полностью адекватен, зрение и речь были в норме, нарушений мимики не наблюдалось. Первичный осмотр не выявил никаких патологий, периферическая нервная система была в порядке.

Исходя из симптомов, врачи предположили, что пациент пережил инсульт, и провели компьютерную томографию мозга.

Однако результаты их озадачили. Там, где должна была находиться правая лобная доля, была пустота.

«Сначала я подумал, что пациент почему-то не рассказал нам об операции на мозге в молодости. Но оказалось, что операции не было», — рассказывает доктор Финлей Браун, описавший необычный случай в журнале BMJ Case Reports.

Результаты МРТ, впрочем, показали, что сама лобная доля никуда не делась. Но в передней части черепа образовалась заполненная воздухом полость, достигавшая 9 см в поперечнике — пневматоцеле. Обычно пневматоцеле наблюдается после травм лица, респираторных инфекций или хирургических операций в области черепа, но ни с чем подобным пациент не сталкивался.

Также на МРТ врачам удалось выявить остеому, доброкачественную опухоль кости, локализованную в области решетчатой кости, которая отделяет носовую полость от полости черепа. Повреждение кости и позволило воздуху попадать в череп, работая как односторонний клапан.

«Пневматоцеле может сопровождаться головной болью, возбуждением, бредом, припадками, психическими и неврологическими нарушениями», — отмечают авторы работы. Проблема в том, что эти симптомы неспецифичны, поэтому понять, что они свидетельствуют о скоплении воздуха в черепе, можно только после визуализации мозга.

Как установили врачи, от инсульта мужчина все же пострадал — возросшее давление в черепе привело к небольшому кровоизлиянию. Оно и стало причиной первоначальных симптомов.

Врачи предложили решить проблему хирургически — избавиться от скопления воздуха и удалить опухоль. Однако, ознакомившись с рисками операции, пациент отказался. Вместо этого он предпочел профилактику повторного инсульта.

«Консервативное лечение (как в нашем случае) иногда со временем приводит к улучшению состояния пациента, но также может вызвать и ухудшение симптомов или спровоцировать восходящую инфекцию», — отмечают врачи.

Но их опасения не оправдались — спустя 12 недель пациент чувствовал себя хорошо и больше не жаловался на слабость.

Ранее «Газета» сообщала, что в Индии врачи удалили самую огромную в мире опухоль мозга

она весила почти два килограмма и была размером почти с голову пациента.

Опухоль появилась у 31-однолетнего мужчины три года назад и росла очень быстро. Ранее пациент обращался в три больницы, но никто из врачей не хотел браться за операцию. Из-за опухоли он потерял зрение, но врачи надеются, что теперь оно вернется. Без вмешательства опухоль могла привести к полному параличу и повреждению мозга.

Еще один необычный случай произошел в США — там нейрохирурги извлекли из черепа ребенка 15-сантиметровый шуруп. 13-летний мальчик помогал двоюродным братьям строить дом на дереве, когда сорвался с ветки и упал на землю. Вслед за ним полетела и полутораметровая доска с 15-сантиметровым шурупом. Когда мальчик поднялся, оказалось, что шуруп вошел в череп, прикрепив доску к голове.

Шуруп не только повредил его череп, но и вошел в мозг в области верхнего саггитального синуса, крупной вены, расположенной между полушариями мозга и направляющими кровь от него к сердцу.

Если бы шуруп пронзил вену, мальчик бы погиб от кровоизлияния.

Чтобы погрузить мальчика в машину скорой помощи, часть доски пришлось отпилить. После рентгенографического исследования, проведенного в местной больнице, врачи были вынуждены одолжить вертолет для транспортировки мальчика в другую больницу у полиции — больничный оказался недостаточно большим. Только в больнице Джонса Хопкинса в Балтиморе нейрохирурги смогли извлечь шуруп из головы ребенка. Для этого им пришлось рассверлить череп вокруг шурупа.

На место удаленного фрагмента черепа врачи установили титановую пластинку. А остатки шурупа они подарили мальчику — на память о его несостоявшемся знакомстве со смертью. Он был выписан из больницы в свой 13-й день рождения.

Повреждения мозга способны вызывать галлюцинации.

Так, 48-летняя женщина из Швейцарии, у которой была обнаружена опухоль мозга, нанесла себе глубокие раны, потому что ей приказали сделать это «божественные голоса».

Врачи выяснили, что эти голоса она слышала еще с юности и предположили, что женщина страдает от психоза — он часто вызывает религиозные галлюцинации. Однако результаты МРТ выявили настоящую причину — медленно растущую злокачественную опухоль, затронувшую участки мозга, участвующие в обработке звука и области, влияющие на эмоции.

Из-за расположения опухоли ее оказалось невозможно удалить. Лучевая терапия также могла быть опасна. Учитывая, что опухоль не подавала признаков роста, от попыток избавиться от нее было решено отказаться.

Женщине были назначены антипсихотические препараты, чтобы, по возможности, избавить ее от галлюцинаций. Когда доза препарата была уменьшена, у пациентки вновь появились религиозные переживания. В дальнейшем она решила сильнее снизить дозу препарата еще сильнее и вновь начала слышать голоса.

 
Эвакуация на российском курорте, плата за международный интернет-трафик и РКН против «Метода». Главное за 28 апреля
На сайте используются cookies. Продолжая использовать сайт, вы принимаете условия
Ok
1 Подписывайтесь на Газету.Ru в MAX Все ключевые события — в нашем канале. Подписывайтесь!