Размер шрифта
Новости Спорт
Выйти
Пожар на стройке в МосквеВойна США и Израиля против Ирана
Наука
ТВЗ

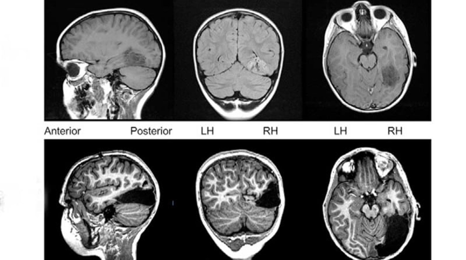
Потерял долю: как живет мальчик без части мозга

Врачи вырезали ребенку 1/6 мозга, но ему это не мешает

Нейрохирурги удалили ребенку 1/6 мозга из-за эпилептических припадков и опасались, что это скажется на его дальнейшей жизни. Однако мальчик по-прежнему хорошо видит, читает и не отстает в развитии от сверстников. Врачи связывают это с пластичностью детского мозга — в таких результатах у взрослого они не уверены.

В четыре года у мальчика из США начались эпилептические припадки. Никакие препараты не позволяли от них избавиться, так что хирургическое вмешательство оставалось последним выходом. С настолько безвыходной ситуацией сталкиваются лишь 10% людей с эпилепсией — остальным оказывается достаточно медикаментозной терапии.

Операция была проведена перед его седьмым днем рождения. Нейрохирургам из Университета Карнеги — Меллона пришлось удалить треть правого полушария — затылочную долю, связанную с обработкой визуальной информации, и основную часть височной, обрабатывающей визуальную и звуковую информацию.

Исследователи гадали, сможет ли мозг мальчика восстановиться после такой операции, в частности, сможет ли различать лица и объекты, с чем связана работа правого полушария.

Спустя три года после операции выяснилось, что ребенку не доставляет особых неудобств отсутствие 1/6 части мозга — его зрительное восприятие, способность распозравать лица и объекты и интеллект вполне соответствовали показателям других детей его возраста.

Пострадало лишь поле зрения — мальчик не способен видеть все, что находится левее его носа. Это связано с отсутствием затылочной доли — мозгу просто нечем обработать визуальную информацию. По всей видимости, для угла обзора в 180° необходимо, чтобы информацию обрабатывали оба полушария.

«Единственный недостаток в том, что его поле зрения ограничено. Когда он смотрит вперед, то не видит, что находится слева. Но он может компенсировать это, просто повернув голову», — отмечает доктор Марлен Берманн.

Тем не менее, левое полушарие смогло взять на себя задачи по распознаванию лиц и объектов. Обычно оно связано с распознаванием слов и названий. Так, если правое полушарие определяет, что перед человеком находится круглый зеленый предмет, то левое идентифицирует его как яблоко.

«Области левого полушария реорганизовались, чтобы распознавать лица», — поясняет Берманн.

Она предполагает, что мозг так хорошо адаптировался к изменениям, потому что мальчик еще растет.

«Я подозреваю, что он даже не понимает, что ему чего-то не хватает», — говорит она.

Дефект зрения Берманн сравнивает с наличием слепого пятна, которое есть у каждого, но не мешает нам видеть.

Исследователи регулярно тестируют способности мальчика. Он справляется с заданиями на распознавание объектов и сцен так же хорошо, как и до операции, а читает даже лучше, чем дети в его возрасте в среднем.

«Эти результаты дают подробную характеристику пластичности зрительной системы в процессе развития мозга у детей, — говорит Берманн. — Также они позволяют больше узнать о зрительной системе коры головного мозга и потенциально способны помочь невропатологам и нейрохирургам понять, как может меняться мозг».

Весной 2018 года ирландские нейрохирурги прооперировали мужчину, у которого вместо лобной доли оказалась пустота.

84-летний ирландец обратился к врачу с жалобами на ухудшение координации. Мужчина в течение нескольких месяцев становился все более неуклюжим, спотыкался, падал. А за три дня до приема у него появилась слабость в левой части тела. При этом пациент был полностью адекватен, зрение и речь были в норме, нарушений мимики не наблюдалось. Первичный осмотр не выявил никаких патологий, периферическая нервная система была в порядке.

Исходя из симптомов, врачи предположили, что пациент пережил инсульт, и провели компьютерную томографию мозга.

Однако результаты их озадачили. Там, где должна была находиться правая лобная доля, была пустота.

Результаты МРТ, впрочем, показали, что сама лобная доля никуда не делась. Но в передней части черепа образовалась заполненная воздухом полость, достигавшая 9 см в поперечнике — пневматоцеле. Обычно пневматоцеле наблюдается после травм лица, респираторных инфекций или хирургических операций в области черепа, но ни с чем подобным пациент не сталкивался.

Также на МРТ врачам удалось выявить остеому, доброкачественную опухоль кости, локализованную в области решетчатой кости, которая отделяет носовую полость от полости черепа. Повреждение кости и позволило воздуху попадать в череп, работая как односторонний клапан.

Как установили врачи, от инсульта мужчина все же пострадал — возросшее давление в черепе привело к небольшому кровоизлиянию. Оно и стало причиной первоначальных симптомов.

Врачи предложили решить проблему хирургически — избавиться от скопления воздуха и удалить опухоль. Однако, ознакомившись с рисками операции, пациент отказался. Вместо этого он предпочел профилактику повторного инсульта. Спустя 12 недель пациент чувствовал себя хорошо и больше не жаловался на слабость.

 
Эвакуация на российском курорте, плата за международный интернет-трафик и РКН против «Метода». Главное за 28 апреля
На сайте используются cookies. Продолжая использовать сайт, вы принимаете условия
Ok
1 Подписывайтесь на Газету.Ru в MAX Все ключевые события — в нашем канале. Подписывайтесь!