Размер шрифта
Новости Спорт
Выйти
Пожар на стройке в МосквеВойна США и Израиля против Ирана
Наука
ТВЗ

«Мы были в отчаянии»: как живет мальчик без 1/6 мозга

Как живет мальчик без 1/6 мозга

Из-за опухоли врачи удалили 1/6 мозга шестилетнего американца, однако утраченные функции быстро восстановились и сейчас мальчик ничем не отличается от сверстников. Исследователи надеются, что этот случай позволит узнать больше о пластичности мозга и своевременно оперировать людей, страдающих от опухолей мозга и припадков.

Таннер Коллинз из Пенсильвании с четырех лет страдал от судорог, невыносимых мигреней и рвоты. Причиной была доброкачественная опухоль размером с мяч для гольфа, образовавшаяся в задней части правого полушария. С течением времени симптомы только усиливались. Мальчик не мог ходить в школу — из-за припадков он едва успевал выйти из дома, как был вынужден возвращаться.

«Мой мозг словно замерзал, — вспоминает он. — Мне было плохо, меня рвало, а потом я снова становился нормальным».

Ни один из препаратов, которые предлагали врачи, не помог. Оставался лишь один выход — операция. Однако при ней пострадали бы области мозга, связанные с обработкой визуальной информации.

Родители мальчика были готовы рискнуть. Опухоль могла вызвать задержки в развитии, что пугало их больше возможной потери зрения.

«Мы были в отчаянии, — признается его мать Николь. — Его качество жизни было таким, что выгоды перевешивали риски».

Врачи провели операцию незадолго до седьмого дня рождения Таннера. Перед операцией врачи поместили электроды на поверхность мозга мальчика и внутрь зрительной коры. На протяжении недели они изучали электрическую активность его мозга, чтобы выяснить, какая область мозга связана с судорогами и какие части придется удалить.

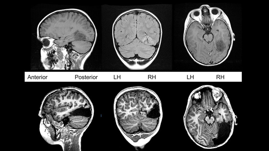
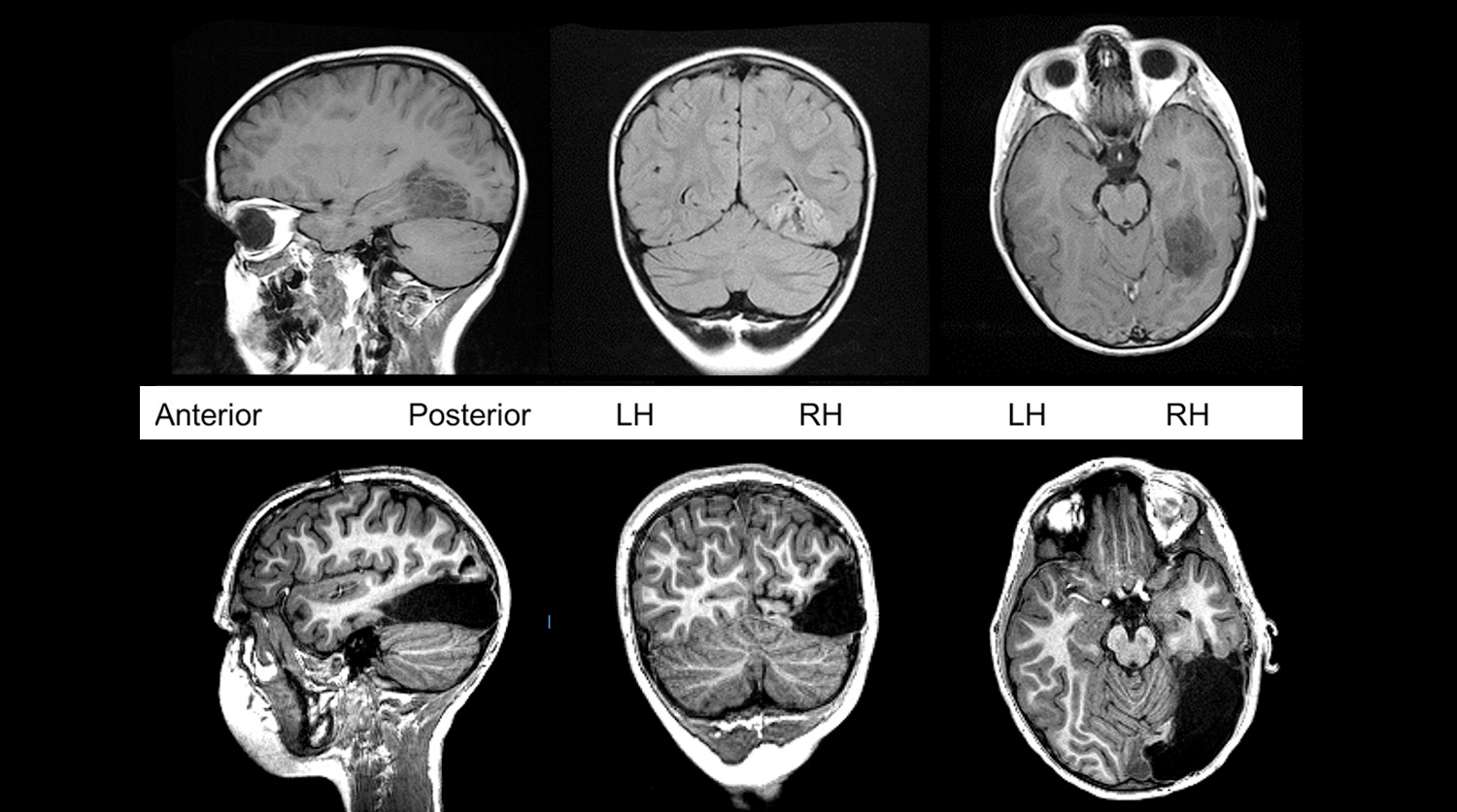
Затем врачи вскрыли череп мальчика и удалили опухоль вместе с прилежащими тканями — затылочной долей мозга, обеспечивающей восприятие зрительной информации, и половиной височной доли, которая участвует в образовании долговременной памяти, обрабатывает визуальную и слуховую информацию, способствует пониманию языка.

Так мальчик остался без 1/6 части мозга.

Однако сегодня, спустя пять лет, Таннер — успешный шахматист. Утраченные функции правого полушария полностью взяло на себя левое. Его необычный клинический случай, иллюстрирующий феномен нейропластичности, международная группа специалистов во главе с психологом Марлен Берманн из Университета Карнеги — Меллона в США описала в статье в журнале Cell.

Нейропластичность — это свойство человеческого мозга, заключающееся в возможности изменяться под действием опыта, а также восстанавливать утраченные связи после повреждения или в качестве ответа на внешние воздействия. Нейропластичность может проявляться на разных уровнях, от клеточных изменений мозга до крупномасштабных изменений с переназначением ролей в коре головного мозга, как ответная реакция на повреждение конкретных отделов.

Еще в середине ХХ века считалось, что мозг имеет фиксированную структуру и нервная ткань не подвержена изменениям. Однако за последние полвека накопилось достаточно знаний об изменчивости мозга под влиянием внешних факторов, от обучения новым навыкам до хирургических вмешательств. Случай Таннера позволил наблюдать за этими изменениями в режиме реального времени.

Единственная проблема мальчика — потеря периферического зрения на левом глазу. По закону, ему нельзя будет водить машину, однако в повседневной жизни он компенсирует этот дефект, просто поворачивая голову.

Нейропластичность позволяет мозгу восстанавливаться после травм. Ее потеря связана с болезнью Альцгеймера и другими видами деменции.

Однако чаще всего речь идет о восстановлении поврежденных нейронных связей. Восполнение функций целых долей мозга — уникальный случай.

Берманн отмечает, что понимание этих изменений позволит понять, как можно «перенастроить» мозг пациентов с удаленными височными и затылочными долями так, чтобы они снова смогли видеть.

С того момента, как Таннер пришел в себя после операции, врачи следили за электрической активностью его мозга. На протяжении недели, которую мальчик провел в больнице, они составили «карту» областей его мозга и выяснили, какие из них взаимодействовали друг с другом, а какие — нет.

Таннер сохранил зрение и узнал своих родителей, но не помнил их имена. Впрочем, уже через несколько дней память восстановилась.

Такое быстрое восстановление во многом связано с возрастом мальчика, отмечают исследователи. До 25 лет мозг все еще развивается, особенно области, связанные с обработкой зрительной информации. Таннер же был настолько юн, что его мозг был еще не полностью «настроен» на работу со зрительной информацией, что, очевидно, и позволило левому полушарию перехватить утраченные функции правого.

На протяжении трех лет после операции Берманн каждые полгода проводила с Таннером серию игр на память и обучение, которая включала задания на память, распознавание и называние объектов. Во время игр она наблюдала за работой мозга мальчика с помощью МРТ. Это позволило изучить, как кровь приливает к различным частям его мозга во время их повышенной активности, и выяснить, как результаты Таннера отличаются от результатов его ровесников с целым мозгом.

«Утраченные функции одного полушария полностью взяло на себя другое», — говорит Берманн.

Никаких отклонений или задержек в развитии у Таннера не наблюдалось.

По словам Берманн, определенные изменения в мозге мальчика, скорее всего, начали происходить еще до операции. К этому могла привести утрата функций областей, пораженных опухолью. Однако доказать это невозможно — все наблюдения и исследования проводились уже после операции.

Исследователи отмечают, что медленно растущие опухоли дают больше шансов для дооперационнной реорганизации мозга, чем острые состояния вроде инсульта.

Берманн собирается продолжать наблюдение за Таннером. Она надеется собрать гораздо больше информации к тому времени, как ему исполнится 20 лет.

Таннер — не единственный человек, функции мозга которого восстановились после операции. Берманн наблюдает еще за девятью такими пациентами, двое из которых — взрослые.

Ее цель — выяснить, какой возраст критичен для проведения операции.

«Мы почти ничего не знаем о том, что происходит со зрительной системой после такой операции», — говорит она.

По мнению исследователей, результаты свидетельствуют, что подобные операции у страдающих припадками детей не должны рассматриваться как крайняя мера. Статистика показывает, что в 70% случаев они проходят успешно, но до сих пор их выполняют довольно редко — а, значит, многие люди с подобными опухолями до сих пор страдают от судорог и болей. Однако если провести операцию слишком поздно, нет никаких гарантий, что мозг сможет реорганизовать себя и вернуть утраченные функции.

Такое полное восстановление, как у Таннера, невозможно у взрослых, подчеркивает она. Хотя их мозг и способен изменяться, его пластичность далеко не так велика, как у детей.

В 2017 году врачи обнаружили в мозге Таннера еще одну опухоль размером с горошину. В 2018 году она была удалена. Пока что мальчика ничего не беспокоит.

 
По России покатилась волна сокращений. 13 признаков, что скоро уволят и вас
На сайте используются cookies. Продолжая использовать сайт, вы принимаете условия
Ok
1 Подписывайтесь на Газету.Ru в MAX Все ключевые события — в нашем канале. Подписывайтесь!