Размер шрифта
Новости Спорт
Выйти
Пожар на стройке в МосквеВойна США и Израиля против Ирана
Наука
ТВЗ

Судороги и обморок: как мужчина почистил уши палочкой

Британец почистил уши и повредил мозг

Чистка ушей довела британца до потери слуха, судорог и абсцесса в мозге. Как такое возможно и как правильно чистить уши, чтобы избежать такой участи, рассказывает «Газета».

Чистка ушей ватной палочкой стала причиной абсцесса мозга, судорог и других серьезных осложнений у 31-летнего британца. Его случай врачи описали в журнале BMJ Case Reports.

Мужчина оказался в больнице в полуобморочном состоянии и с судорогами. Он рассказал, что последние несколько дней он страдал от тошноты и головных болей, а также с трудом вспоминал имена. Затем он добавил, что последние пять лет у него периодически болит левое ухо и он слышит им все хуже.

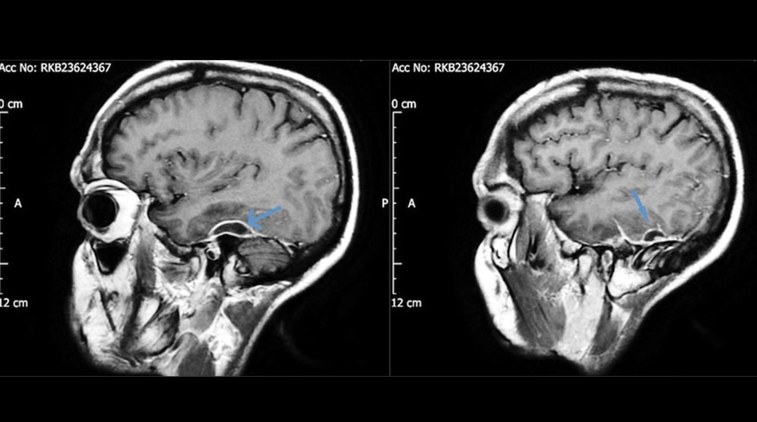
Компьютерная томография показала абсцесс в окружающих мозг тканях.

Анализ выделений из левого уха выявил синегнойную палочку — опасную бактерию, устойчивую ко многим антибиотикам. Она и стала виновницей заболевания, от которого пострадал мужчина — некротического наружного отита. Абсцессы мозга и другие внутричерепные осложнения встречаются при нем редко, чаще болезнь затрагивает только сам слуховой проход, иногда поражая лицевой, языкоглоточный, блуждающий и добавочный нервы.

Инфекция часто заносится с грязной водой, однако в случае этого пациента причина заражения оказалась весьма необычной. Во время осмотра врачи извлекли из его уха фрагмент ватной палочки. Неизвестно, как долго он там пробыл, но, учитывая анамнез — не менее пяти лет.

Риск инфицирования возрастает при наличии в ухе инородных тел, поясняют врачи. Однако подобный случай был зарегистрирован впервые.

После удаления ваты из уха и ударной дозы антибиотиков пациент пошел на поправку. Спустя восемь недель он полностью избавился ото всех симптомов болезни.

«По завершении курса антибиотиков пациент был здоров, без неврологических осложнений и боли в ушах, — пишут авторы статьи. —

И, что самое важное, он больше не использует ватные палочки для чистки ушей!»

Хотя случай этого мужчины может показаться забавным, он является очередным доказательством того, что людям не следует ничего засовывать в уши даже с целью их почистить, отмечают врачи. Тем более, что чистить уши изнутри все равно не нужно.

«Использование ватных палочек внутри уха — распространенное явление, и уже давно признано, что это вызывает ряд осложнений, включая перфорацию барабанной перепонки, инфекции и застревание палочек, — говорится в статье. — Данный случай в очередной раз подчеркивает опасность использования ватных палочек и важность удаления инородного тела из уха».

Отоларингологи не устают напоминать, что не следует чистить уши ватными палочками. На сайте Американской академии отоларингологии в 2017 году были опубликованы рекомендации по уходу за ушами, где специалисты просят не перестараться с их очисткой и ничего в них не засовывать, даже ватные палочки, и обратиться за медицинской помощью в случае возникновения проблем со слухом. Также в журнале Otolaryngology – Head and Neck Surgery было опубликовано клиническое руководство, содержащее исчерпывающую информацию для отоларингологов по работе с пациентами с повышенным риском образования серных пробок.

Использование ватных палочек может привести к закупорке слухового прохода ушной серой — образованию серной пробки. Уши устроены так, что способны очищаться самостоятельно, постепенно выводя лишнюю серу наружу, но из-за неправильного очищения ее можно попросту затолкать обратно.

Ушная сера необходима для поддержания здоровья ушей.

Она служит не только для их очистки и защиты от пересыхания, но и борется с бактериями и грибками — в состав серы входят иммуноглобулины, а ее кислотность противодействует развитию бактериальной и грибковой флоры. Кроме того, она не позволяет попасть в уши частицам грязи. В норме сера постепенно выводится из слухового прохода во время пережевывания пищи или других движений челюстями и из-за роста клеток кожи.

Специалисты рекомендуют не чистить уши сверх необходимого, ничего не засовывать в уши, не использовать для очищения ушные свечи — нет доказательств, что они способны избавить от серы, а также обратиться к врачу в случае боли в ухе, кровотечения и других тревожных симптомов. Также специалист может подсказать, как избавляться от серных пробок в случае повышенного риска их образования.

Все эти рекомендации не новы, но отоларингологи не устают из года в год повторять их, потому что до сих пор сталкиваются со множеством пациентов, которые не умеют правильно чистить уши. При этом соблюдать гигиену ушей предельно просто — нужно лишь регулярно мыть ушную раковину. Этого достаточно, чтобы избавиться от излишков серы, вышедших наружу, и не нарушить защитный слой внутри уха.

 
По России покатилась волна сокращений. 13 признаков, что скоро уволят и вас
На сайте используются cookies. Продолжая использовать сайт, вы принимаете условия
Ok
1 Подписывайтесь на Газету.Ru в MAX Все ключевые события — в нашем канале. Подписывайтесь!