Размер шрифта
Новости Спорт
Выйти
Война США и Израиля против Ирана
Наука
ТВЗ

Узелки в глазах: найдено новое осложнение после коронавируса

Врачи обнаружили еще одно осложнение после COVID-19

Коронавирус может приводить к появлению странных узелков на глазных яблоках, установили французские офтальмологи. Вероятно, это связано с воспалительными процессами во время болезни, но могут быть и другие причины — это еще предстоит уточнить, как и то, какие последствия несет это поражение.

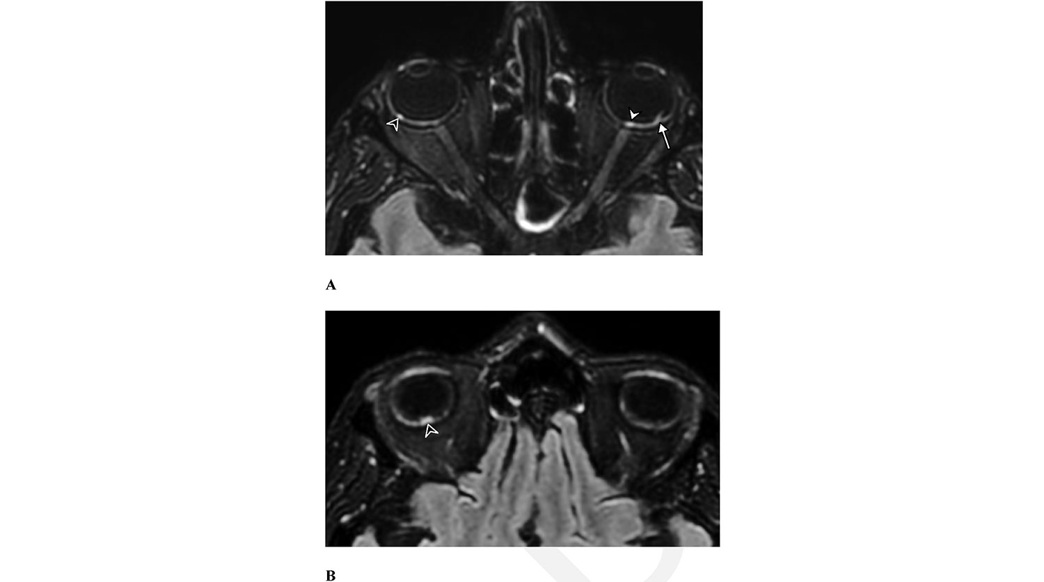
Тяжелое течение COVID-19 может привести к формированию потенциально опасных узелковых образований в глазных яблоках, выяснили французские врачи из Страсбургского университета и нескольких крупных больниц. Исследование было опубликовано в журнале Radiology.

Сейчас о последствиях COVID-19 известно уже многое, но эта информация касается в основном респираторных и неврологических осложнений. Однако SARS-CoV-2 способен поражать многие органы, в том числе и глаза.

До сих пор было известно лишь о возможности вирусного конъюнктивита, но, по-видимому, COVID-19 может приводить и к более серьезным поражениям.

Ученые провели МРТ головы 129 пациентам, перенесшим COVID-19. У девяти из них исследователи обнаружили странные новообразования в задней части глазных яблок. Восемь из этих пациентов болели в тяжелой форме и какое-то время провели в отделении интенсивной терапии.

Хотя ранее уже сообщалось, что COVID-19 может приводить к вирусному конъюнктивиту, теперь речь идет о поражении другой части глаза, отмечают исследователи. Это затрудняет изучение узелков — рассмотреть их напрямую неинвазивно не получится. Поэтому назвать точную причину их появления пока что тоже нельзя. Однако у авторов работы есть несколько версий.

Во-первых, узелки могли образоваться из-за воспалительных процессов в организме. Во-вторых, в отделении интенсивной терапии пациенты долгое время лежали на животе, что могло нарушить работу сосудов глаза.

Впрочем, длительное пребывание в лежачем положении на спине тоже способно повредить глаза, предупреждают ученые.

Семь из девяти пациентов находились на интубации. Кроме того, двое пациентов страдали диабетом, шесть ожирением, двое — гипертонией. Предположительно, эти факторы тоже могли спровоцировать повреждение глаз на фоне основного заболевания.

«Когда вирус попадает в кровоток, кровеносные сосуды могут блокироваться, что вызывает воспалительную реакцию, способную повредить глаз», — говорит доктор Клаудиа Кирш.

Долгосрочные риски обнаруженной аномалии пока неясны. Для того, чтобы выяснить их, необходимо длительное наблюдение за большим числом пациентов. Вполне возможно, что подобные новообразования есть и у других пациентов, перенесших COVID-19 в тяжелой форме. Пока они находились в больнице, внимание врачей было сосредоточено на сохранении их жизни, поэтому никаких лишних исследований, тем более требующих перемещения пациента, не проводилось.

«Когда пациенты попадают в больницу, они находятся в тяжелом состоянии, и наша цель — спасти их жизнь, — говорит Кирш. — В отделении интенсивной терапии мы думаем только о том, чтобы дать им возможность дышать».

Также не исключено, что узелки могут быть и в других органах — просто пока врачи их не заметили.

Исследователи опасаются, что новообразования в глазах могут привести к слепоте, если от них не избавиться.

«Главная задача в отделении интенсивной терапии — сделать так, чтобы пациент мог дышать самостоятельно, и снизить вирусную нагрузку, — говорит Кирш. — Идеально было бы, если бы благодаря профилактике люди бы вообще не заражались. Мы знаем, как важно мыть руки и соблюдать другие правила безопасности, но до сих пор изучаем, что же происходит с глазами».

Возможно, узелки в глазах и не несут серьезной опасности.

«Мы не видели большого количества осложнений COVID-19, связанных со зрением, — отмечает офтальмолог Марк Фромер. — Мы наблюдали конъюнктивит, связанный с COVID-19, но в целом он проходил сам по себе, без вмешательства».

Тем не менее, долгосрочные последствия появления узелков еще предстоит изучить. Пока же ученые рекомендуют пациентам, перенесшим COVID-19 в тяжелой форме, обратиться к офтальмологу.

Обследования могут включать МРТ и офтальмоскопию, которая позволяет оценить состояние глазного дна.

Авторы работы намерены и дальше наблюдать за участниками исследования, чтобы выяснить, что будет происходить с их глазами. Также они рассчитывают получить результаты МРТ большего числа пациентов, чтобы попытаться найти точную причину появления новообразований.

 
Расширение «белых списков» и черные дожди в Туапсе. Главное за 23 апреля
На сайте используются cookies. Продолжая использовать сайт, вы принимаете условия
Ok
1 Подписывайтесь на Газету.Ru в MAX Все ключевые события — в нашем канале. Подписывайтесь!