Размер шрифта
Новости Спорт
Выйти
Война США и Израиля против Ирана
Наука
ТВЗ

Гангрена и разрушение мозга: названы новые последствия COVID-19

Врачи предупредили о новых опасных осложнениях при коронавирусе

Гангрена и разрушение белого вещества мозга — осложнения, с которыми могут столкнуться пациенты с COVID-19, сообщают американские врачи. Чтобы вовремя заметить их и предотвратить ухудшение здоровья, они рекомендуют пациентам более внимательно относиться к своему состоянию и появлению подозрительных симптомов, а врачам — не пренебрегать дополнительной диагностикой.

COVID-19 может приводить к гангрене, предупреждают врачи из Северо-Западного университета США. Подробно об этом они рассказали в статье в журнале Skeletal Radiology.

Многие пациенты с COVID-19 сталкиваются с воспалением мышц и суставов. Причина этому, как установили исследователи — аутоиммунные реакции организма. Проанализировав посвященные осложнениям COVID-19 работы, а также изучив результаты УЗИ и МРТ собственных пациентов, врачи установили, что воспаления, повреждения нервов и кровяные сгустки вызваны атакой организма на самого себя.

«Мы поняли, что SARS-CoV-2 может спровоцировать атаку организма на себя различными способами, и это может привести к ревматологическим проблемам, которые требуют пожизненного лечения», — рассказывает доктор Свати Дешмух, один из авторов работы.

Одним из наиболее серьезных осложнений стала гангрена.

Она возникала, по всей видимости, из-за тромбозов или приема средств для сужения сосудов для поддержания гемодинамики. В особой опасности оказались люди с диабетом и заболеваниями периферических сосудов. Инфицирование ран также приводило к газовой гангрене.

«Некоторые врачи просят сделать томографию, например, для пациентов с «ковидными пальцами», но данных по визуализации осложнений стоп и мягких тканей при COVID-19 не было, — говорит Дешмух. — Как что-то найти, если вы не знаете, что искать? Поэтому в нашей статье мы обсуждаем различные виды патологий опорно-двигательного аппарата, которые радиологи должны искать и приводим примеры визуализации».

Связанные с опорно-двигательным аппаратом патологии в ряде случаев могут быть единственным симптомом COVID-19, отмечают исследователи. Поэтому и пациентам, и врачам стоит обращать на них внимание и делать анализ на COVID-19, чтобы подтвердить (или исключить) подобный диагноз.

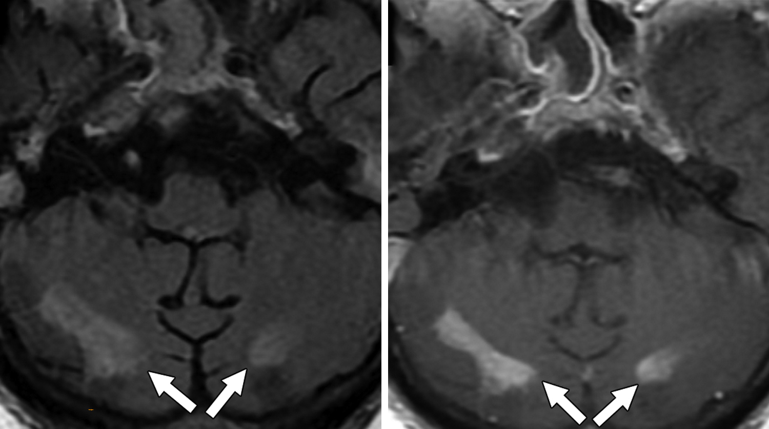
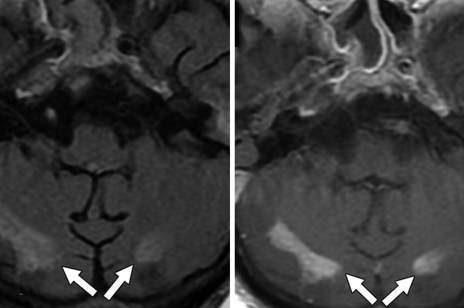
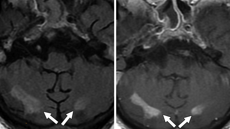
Еще одно опасное осложнение, о котором сообщают специалисты Пенсильванского университета в статье в журнале American Journal of Roentgenology — поражение белого вещества мозга.

Из 2820 пациентов с COVID-19, с которыми имели дело авторы работы в период с 1 марта по 18 июня 2020 г., 59 прошли МРТ головного мозга. У многих наблюдались признаки поражения мозга, вызванные рассеянным склерозом, инсультами, нехваткой кислорода в крови, недостаточным кровоснабжением мозга и прочими факторами. Но также исследователи заметили, что у шести пациентов (10,2%) имелись признаки лейкоэнцефалопатии.

Лейкоэнцефалопатия — это стойкое разрушение белого вещества мозга.

При прогрессировании оно может приводить к нарушениям речи и зрения, реже — к головокружениям, головным болям, эпилептическим приступам. Возможны также психические нарушения.

«Мы наблюдали обширное слияние очагов поражения белого вещества (с характеристиками и расположением, нетипичными для других причин), микрогеморрагическим кровоизлиянием, с ограниченной диффузией, — пишут исследователи.

У четверых пациентов наблюдалась гипертония, у троих — сахарный диабет 2-го типа. Не исключено, что они способствовали возникшему поражению.

О конкретных причинах такого поражения мозга исследователи пока говорить не берутся. Однако, по всей видимости, оно может играть роль в неврологических осложнениях при COVID-19.

Для лейкоэнцефалопатии нет специфического лечения.

Один из способов остановить изменения в мозге — восстановление активности иммунной системы, но в этом случае, как правило, речь идет о ВИЧ-инфицированных — у них лейкоэнцефалопатия встречается чаще всего. Есть ограниченные данные об успешном применении противовирусных препаратов и атипичных нейролептиков, но они не подтверждены в рандомизированных клинических исследованиях.

При прогрессирующей форме заболевания, если не удалось восстановить функции иммунной системы, смерть наступает в течение 3-20 месяцев после постановки диагноза. В случае с пациентами в данном исследовании, впрочем, речи о прогрессировании болезни пока не идет.

«Лейкоэнцефалопатия — необычный, но важный вопрос, требующий особого внимания у пациентов с COVID-19 с неврологическими проявлениями», — заключают исследователи.

 
Расширение «белых списков» и черные дожди в Туапсе. Главное за 23 апреля
На сайте используются cookies. Продолжая использовать сайт, вы принимаете условия
Ok
1 Подписывайтесь на Газету.Ru в MAX Все ключевые события — в нашем канале. Подписывайтесь!