Размер шрифта
Новости Спорт
Выйти
Война США и Израиля против Ирана
Наука
ТВЗ

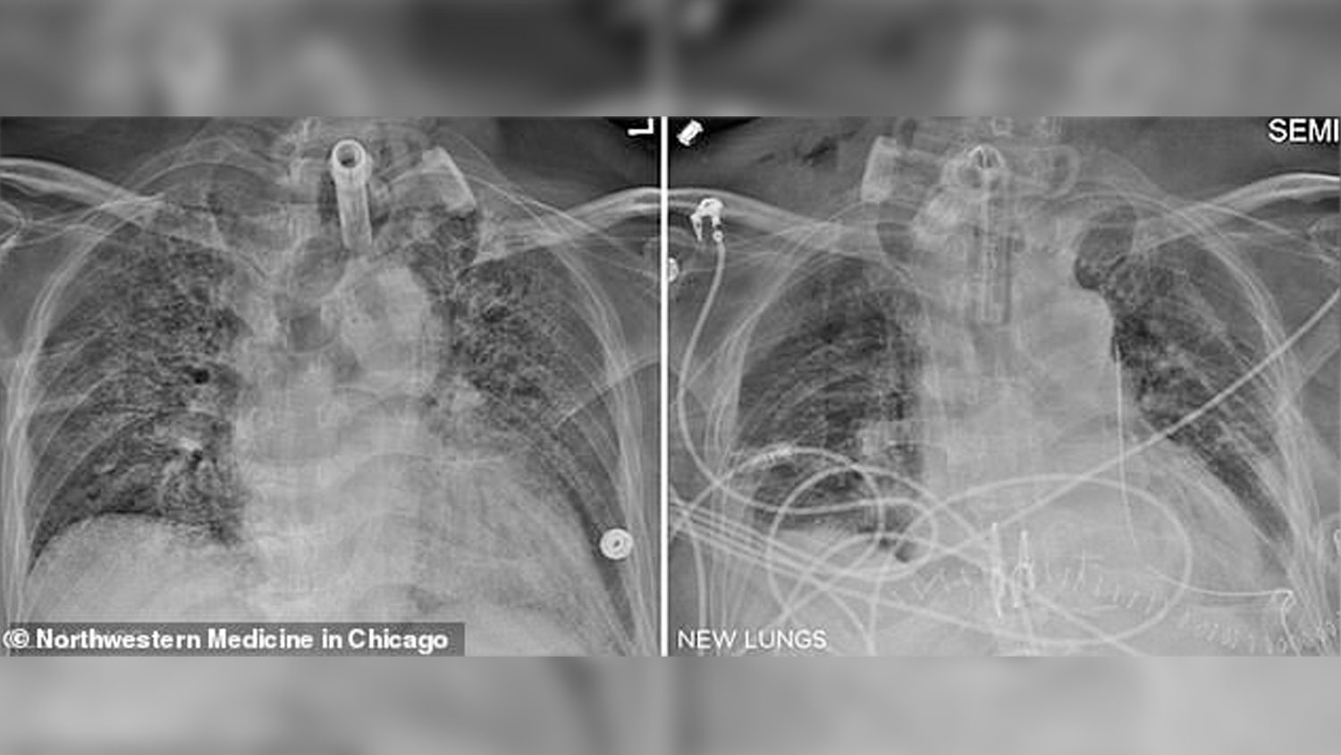
«Красивые, здоровые»: пациент получил легкие от донора, перенесшего COVID-19

Прошла первая пересадка легких от человека, переболевшего коронавирусом

В США врачи впервые пересадили легкие от донора, который переболел COVID-19, а затем умер по не связанной с болезнью причине. Пациентом стал мужчина, чьи легкие отказали из-за коронавируса. По словам врачей, сейчас пациент в норме и постепенно восстанавливается.

Американские врачи из клиники Северо-Западного университета впервые пересадили пациенту с COVID-19 легкие от донора, уже перенесшего болезнь. Об этом сообщает издание Daily Mail.

«Это важная веха в трансплантологии, — говорит доктор Анкит Бхарат, хирург, который проводил трансплантацию. — Сегодня 30 млн американцев перенесли COVID-19, и многие из них зарегистрированы как доноры.

Если мы откажемся от них только потому, что они переболели, то резко сократим пул доноров — а спрос уже сильно превышает предложение».

Донор переболел COVID-19 в 2020 году, успешно вылечился, но затем скончался по несвязанной с болезнью причине. Пациент, 60-летний медработник из Иллинойса, заразился коронавирусом еще в мае 2020 года. Он переносил инфекцию настолько плохо, что ему понадобилась экстракорпоральная мембранная оксигенация, при которой аппарат перекачивает и насыщает кислородом кровь пациента вне тела, снимая эту функцию с сердца и легких.

В феврале 2021 года мужчину перевели в клинику Северо-Западного университета, где он попал в список пациентов, которым необходима пересадка легких. При COVID-19 операция сложнее обычной пересадки из-за повреждений, нанесенных вирусом. Кроме того, врачам необходимо дождаться, пока организм избавится от вируса, и при этом следить за тем, чтобы органы пациента не отказали.

Донора удалось подобрать в течение недели: этот человек ранее перенес COVID-19, хотя и в умеренной форме. Но вирус не повредил легкие, и они подходили для трансплантации. Существовали определенные риски — в организме донора мог сохраниться вирус, и пересадка бы погубила пациента. Чтобы удостовериться, что в организме донора не осталось SARS-CoV-2, врачи провели биопсию легких, а также изучили скапливающуюся в них жидкость. Тесты оказались отрицательными.

По словам врачей, пересадка прошла успешно.

«Наш пациент получил красивые, здоровые легкие и продолжает восстанавливаться в оптимальном темпе», — говорит Бхарат.

Важность проверки легких донора показывает недавний случай — в США пациентка умерла после того, как ей пересадили легкие женщины, больной COVID-19.

Пациентка страдала от хронической обструктивной болезни легких, и ей требовалась трансплантация. Донором стала женщина, погибшая от тяжелой травмы мозга в результате автомобильной аварии. Врачи взяли и у пациентки, и у донора мазки на SARS-CoV-2, результаты анализов оказались отрицательными.

Операция прошла нормально, но через три дня у пациентки начались проблемы с дыханием. Хотя мазок из носа по-прежнему показывал, что у нее нет COVID-19, симптомы говорили о пневмонии. Позднее анализ жидкости из легких подтвердил диагноз.

В течение двух месяцев состояние пациентки ухудшалось, у нее развился септический шок. Врачи вводили ей антивирусные препараты и плазму с антителами, перевели на экстракорпоральную мембранную оксигенацию, при которой кровь насыщается кислородом напрямую.

Однако эти меры не помогли, и на 61 день болезни женщина скончалась.

Хотя у донора в последние дни перед смертью не было симптомов COVID-19, вирус все же присутствовал в ее легких. Это подтвердил анализ жидкости, собранной перед трансплантацией — врачи обнаружили там SARS-CoV-2, и он оказался генетически схож с тем, от которого пострадала пациентка. Заразился также один из хирургов, занимавшийся пересадкой. Он переболел без серьезных последствий.

Ранее уже было несколько случаев заражения COVID-19 после пересадки органов, но не было надежных свидетельств того, что причиной болезни стала болезнь донора — пациент мог заразиться и от кого-то еще. В этот же раз источник заражения удалось надежно подтвердить. Врачи подчеркивают, что стоит более внимательно изучать донорские органы, чтобы избежать трагедии.

 
«Схема Долиной 2.0» и другие ловушки для покупателей жилья в 2026 году
На сайте используются cookies. Продолжая использовать сайт, вы принимаете условия
Ok
1 Подписывайтесь на Газету.Ru в MAX Все ключевые события — в нашем канале. Подписывайтесь!