Размер шрифта
Новости Спорт
Выйти
Война США и Израиля против Ирана
Наука
ТВЗ

Обрезан, мозг на месте: что скрывала мумия Аменхотепа I

Ученые впервые рассмотрели мумию египетского фараона Аменхотепа

Мумию египетского фараона Аменхотепа впервые смогли рассмотреть египетские ученые с помощью компьютерной томографии. Удалось выяснить, что фараон был обрезан, его рост составлял 168,5 см, на момент смерти Аменхотепу было 35 лет. Спустя несколько веков после захоронения в его гробницу наведались грабители и в поисках сокровищ поломали мумии кости, но бальзамировщики сделали все возможное, чтобы восстановить тело. Исследователи надеются, что в будущем удастся подобным образом, не разматывая бинтов и не снимая масок, рассмотреть мумии и других правителей Египта, узнав больше об их анатомии, возможных болезнях и причинах смерти.

Фараон Аменхотеп I правил Египтом в 1525-1504 годах до н. э. Несмотря на имена «Побеждающий страны» и «Великий ужас», его правление было мирным, в исторических источниках практически нет упоминаний о военных походах. Много внимания Аменхотеп уделял административной деятельности, строительству, возведению новых храмов. Фараон умер в возрасте около 40 лет и был погребен в Фивах, затем его саркофаг и тело изъяли из гробницы и спрятали с другими царскими мумиями в тайнике в Дейр-эль-Бахри. Археологи нашли мумию Аменхотепа в 1881-м. Тщательное ее изучение, однако, не проводилось — ученые опасались повредить мумию и нарушить целостность прекрасно сохранившихся цветочных гирлянд, украшавших ее.

Тем не менее, у ученых все еще оставались вопросы касательно причин ранней смерти фараона, его мумификации и повторного захоронения, ответить на которые можно было, лишь изучив саму мумию.

Современные технологии позволили, наконец, изучить останки фараона. Радиологи из Каирского университета использовали компьютерную томографию, чтобы узнать об Аменхотепе I больше. Подробности они изложили в статье в журнале Frontiers in Medicine.

На основе прежних рентгенологических исследований возраст Аменхотепа на момент смерти определялся в диапазоне от 25 до 40-50 лет. Однако ранние методы, в отличие от КТ, не позволяли делать «срезы» тела, которые позволили бы оценить износ костной ткани наиболее точно. Согласно новым данным, фараон скончался в возрасте 35 лет.

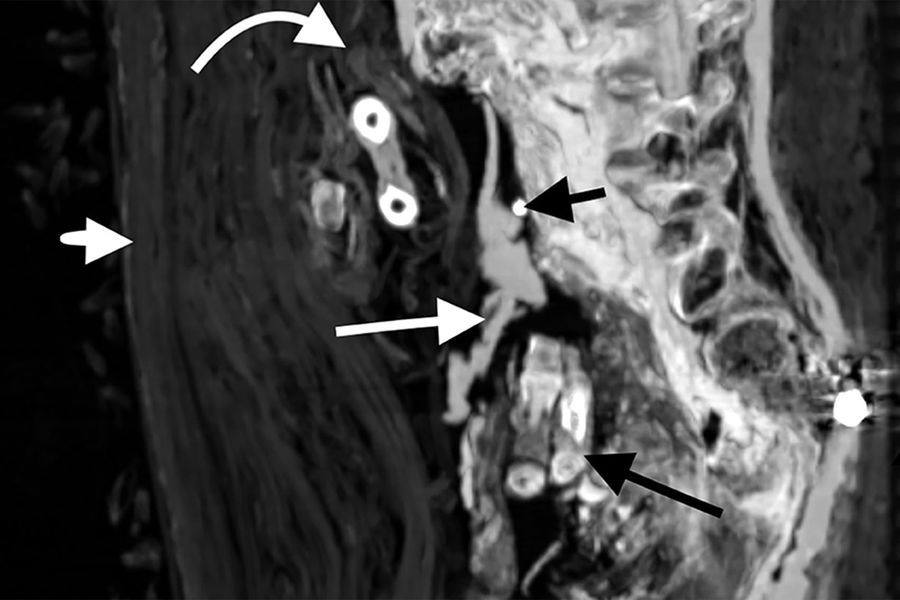
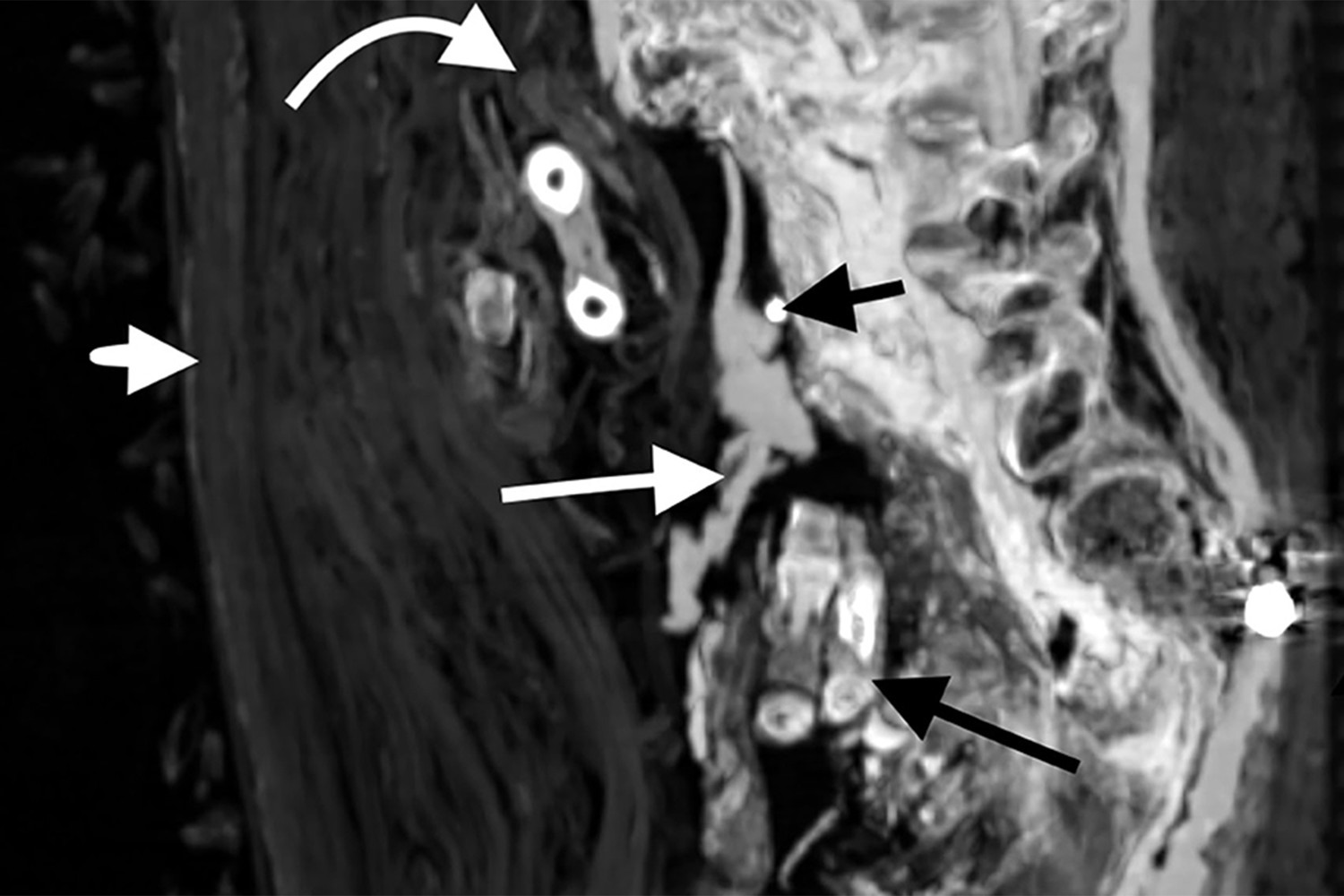
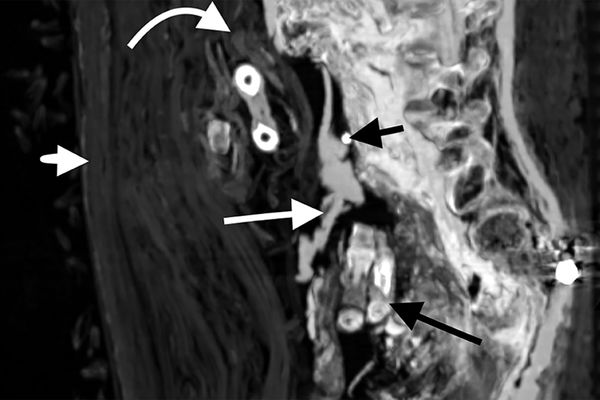
Также КТ позволила лучше рассмотреть лицо мумии — овальное, с впалыми глазами и обвисшими щеками.

Нос маленький, узкий, приплюснутый. Верхние зубы слегка выступают. Подбородок узкий. Уши маленькие, левое проколото. На затылке сохранились несколько вьющихся локонов. Возможно, эти данные можно будет использовать для реконструкции лица фараона.

Исследователи обнаружили у Аменхотепа множество травм, но все они оказались посмертными: переломы шеи и позвоночника, вывихи и переломы рук, перелом лобковой кости. На одной из рук отсутствуют два пальца, они уложены в районе живота мумии. По всей видимости, мумия пострадала от рук расхитителей гробниц.

Длина скелета от макушки до пяток составила 161,5 см. При жизни рост Аменхотепа, вероятно, был около 168 см.

Зубы Аменхотепа оказались в отличном состоянии — минимально истертые, без признаков кариеса или серьезных заболеваний парадонта.

Признаков заболеваний опорно-двигательной системы, дегенерации суставов исследователи не обнаружили.

«На пенисе присутствуют следы обрезания», — пишут авторы работы.

Причину смерти по снимкам установить не удалось.

Мозг перед мумификацией не извлекался — он сохранился в черепе. Сам череп тоже был нетронут. Но внутренние органы были удалены через отверстие в боку, через него же тело было набито тканью. Сердце осталось на месте.

На иссохших глазных яблоках ученые обнаружили следы смолы. Также просмоленные кусочки ткани были в ноздрях мумии. В задней части рта сохранился язык.

В бинтах исследователи также обнаружили около 30 украшений, в частности пояс из металлических (вероятно, золотых) бусин в задней части тазовой области, и фаянсовый амулет в форме раковины улитки у левого бедра.

Некоторые из украшений, вероятно, появились при повторном захоронении, считает Салим — так бальзамировщики хотели компенсировать ущерб, нанесенный грабителями.

Даже спустя несколько веков после смерти фараона древние египтяне все еще заботились о нем.

При повторном захоронении мумию явно пытались «отремонтировать» — пропитанные смолой бинты фиксировали оторвавшуюся из-за перелома шейных позвонков голову, прикрывали повреждения брюшной полости. Сломанным и вывихнутым конечностям придано подходящее положение. Ступни зафиксированы с помощью деревянных дощечек.

«Аменхотеп I правил в эпоху Нового царства: кульминационный момент древнеегипетской цивилизации, — говорит Салим. — Цивилизация того времени была очень богатой и передовой во всех аспектах, включая мумификацию. Мумии правителей Нового царства сохранились до наших дней лучше всех остальных когда-либо найденных тел».

Исследователи надеются, что аналогичные исследования других мумий позволят узнать больше о фараонах Египта и технологиях мумификации. Кроме того, есть множество других человеческих останков, изучение которых с помощью КТ позволит больше узнать о людях прошлого.

 
«Я боюсь открывать почту». Что делать, когда поиск работы доводит до выгорания
На сайте используются cookies. Продолжая использовать сайт, вы принимаете условия
Ok
1 Подписывайтесь на Газету.Ru в MAX Все ключевые события — в нашем канале. Подписывайтесь!