Размер шрифта
Новости Спорт
Выйти
Пасхальное перемирие на Украине — 2026Война США и Израиля против Ирана
Наука

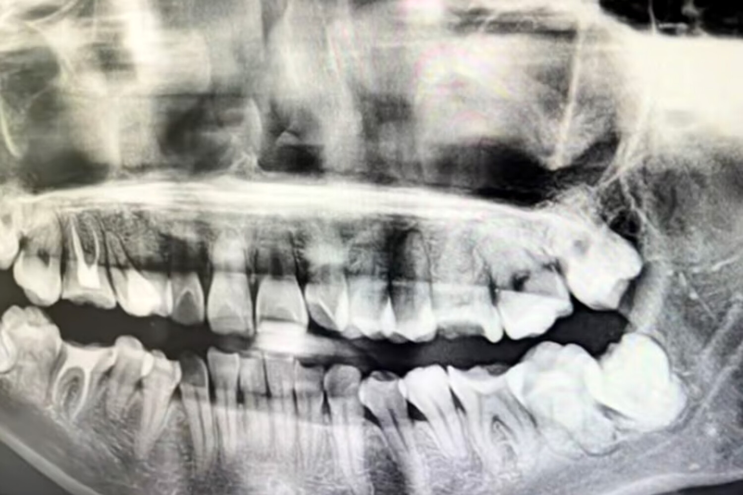
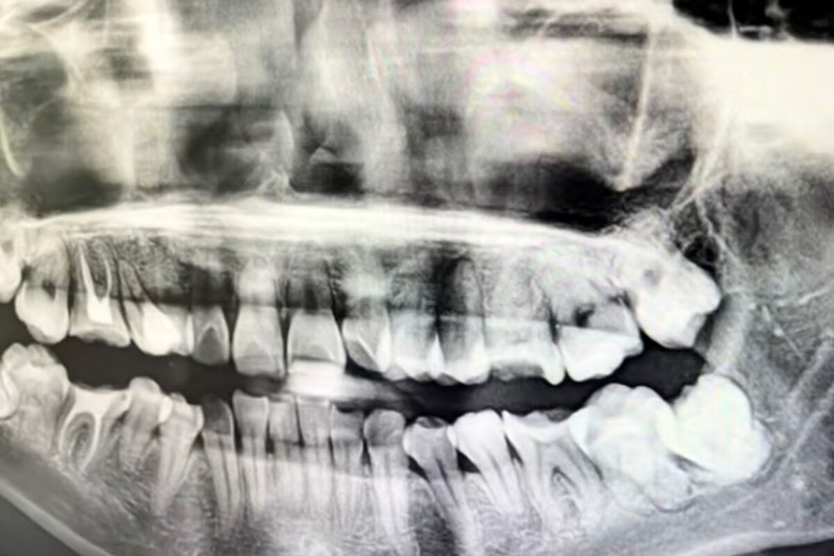
Врач рассказал, почему кость вокруг зубного импланта может истончиться

Врач Кузьмин: плохая гигиена может вести к истончению кости вокруг зубного импланта

Истончение кости вокруг зубного импланта чаще всего происходит из-за естественного снижения нагрузки на костную ткань, инфекций и неправильного выбора изделия. Курение и сахарный диабет дополнительно повышают риск. Об этом «Газете.Ru» рассказал кандидат медицинских наук, врач-стоматолог-имплантолог Игорь Кузьмин.

Кость — это живой орган, который постоянно перестраивается: старые участки разрушаются, новые строятся. Появление импланта из титана вносит изменения в этот баланс.

«Одна из причин — биомеханика. Имплант не имеет естественной связки зуба, которая амортизирует нагрузку. Жесткий титановый корень забирает на себя давление при жевании, а кость вокруг получает меньше стимулов, что может приводить к ее истончению», – пояснил специалист.

Обратная ситуация — чрезмерная нагрузка на имплант, например при бруксизме или неправильно установленной коронке, тоже провоцирует разрушение кости.

«Инфекции — еще один фактор. Воспаление десны вокруг импланта (мукозит) может перейти на кость (периимплантит). Бактерии активируют клетки, разрушающие кость, что часто происходит быстрее, чем при заболеваниях собственных зубов. Курение и сахарный диабет дополнительно увеличивают риск», – предупредил врач.

Стоматолог добавил, что гладкая эмаль зуба легче очищается, а шероховатая поверхность импланта является идеальным плацдармом для бактерий, если гигиена нарушена.

Стоматолог добавил, что даже конструктивные особенности импланта влияют на здоровье кости. Микрозазоры между ним и абатментом (опорой) могут стать «входом» для бактерий, поэтому современные системы стараются сделать соединение герметичным. Быстрая и надежная остеоинтеграция — срастание кости с имплантатом — также снижает риск истончения.

К другим причинам истончения кости относятся перегрев при формировании ложа для импланта (некроз кости), неправильный выбор размера или позиции имплантата, а также некачественную фиксацию коронки, когда цемент выдавливается в десну и вызывает хроническое воспаление.

«Однако истончение кости после имплантации — это не фатальный рок, а процесс, на который мы можем влиять. Убыль кости — это всегда уравнение со многими переменными», – заключил медик.

Ранее ученые выяснили, что базилик может защищать зубы от кариеса.

 
Ближний Восток остался без Формулы-1. Но это не первый случай отмены этапов Гран-при
На сайте используются cookies. Продолжая использовать сайт, вы принимаете условия
Ok
1 Подписывайтесь на Газету.Ru в MAX Все ключевые события — в нашем канале. Подписывайтесь!