На сайте используются cookies. Продолжая использовать сайт, вы принимаете условия
Ok
1 Подписывайтесь на Газету.Ru в MAX Все ключевые события — в нашем канале. Подписывайтесь!
Все новости
Новые материалы +

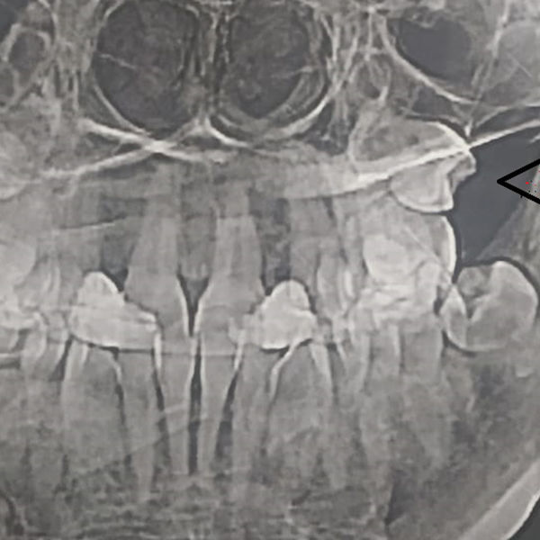
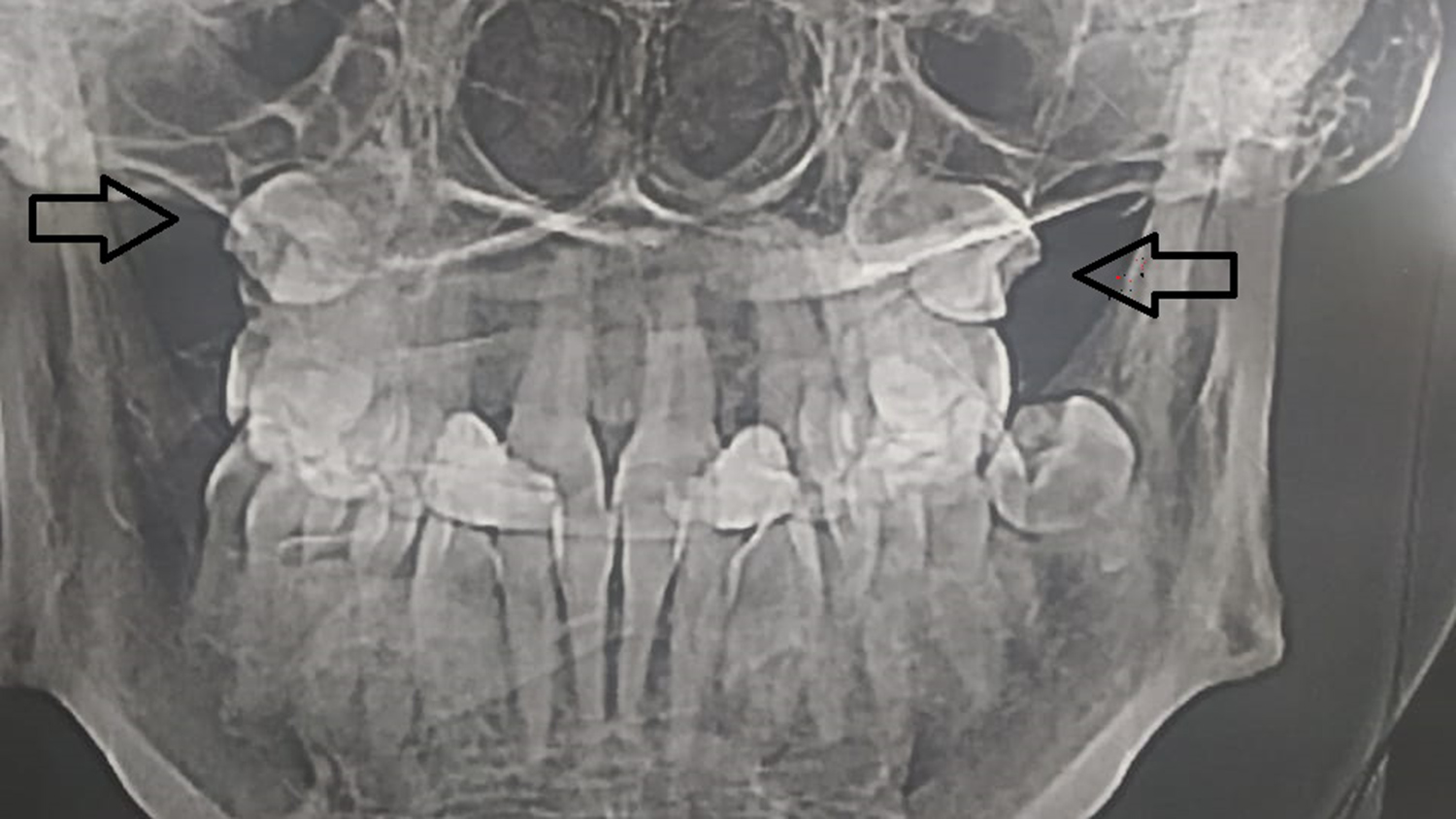
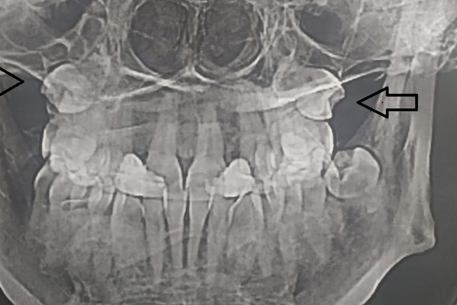
У жительницы Самары в носу выросли зубы

Жительница Самары обнаружила, что в гайморовых пазухах у нее выросли зубы, сообщает ГТРК «Самара».

Об этом женщина узнала, сделав МРТ. Выяснилось, что «четверки» (зубы которые идут после клыков) выросли вместо челюсти в носу.

Жительницу Самары направили на операцию, где под общим наркозом удалили зубы. Она рассказала, что чувствует себя хорошо, а дышать ей стало гораздо легче.

Ранее сообщалось, что в Германии стоматолог удалил пациенту самый длинный зуб в истории и попал в Книгу рекордов Гиннесса. Когда врач измерил длину зуба, оказалось, что она составляет 3,72 см.

Новости и материалы
«Завел ИП в Испании — и охреневаю»: Белый возмутился жизнью в Испании
Министр финансов США высмеял Макрона
Онищенко рассказал, когда в России завершится вспышка гриппа
Ученый рассказал, возможно ли будет с Земли увидеть Вифлеемскую звезду
Российские военные за сутки поразили склад барражирующих боеприпасов ВСУ
Названо условие, при котором тренировки снижают риск ранней смерти
52-летняя Хайди Клум вышла в свет в «голой» рубашке без лифчика
В Госдуме иронично ответили на слова Трампа о секретном оружии у США
Дания продала США остров Джеффри Эпштейна
СМИ сообщили о планах Пентагона сократить участие США в структурах НАТО
«В декабре Европа горела»: Онищенко возмутился поездками россиян в сезон гриппа
«Лишен возможности быть отцом»: экс-жена Цекало скрылась в Латвии с детьми и тайно вышла замуж
Найденное в Босфоре тело мужчины опознали по гидрокостюму
Минздрав рассказал о состоянии пострадавших при атаке ВСУ в Адыгее
Алла Пугачева может запросить 100 млн рублей за частное выступление за границей
В России вузы стали перераспределять льготные места по новым правилам
Вице-премьер рассказал о рекорде по производству молока в России
Экзотическая ягода оказалась помощником в борьбе с диабетом
Все новости