Размер шрифта
Новости Спорт
Выйти
Операция США в Венесуэле и захват МадуроПротесты в Иране — 2026Переговоры о мире на Украине
Новости. Общество

Проглоченная рыбья кость пробила кишечник мужчине и застряла в печени

На Кубани спасли мужчину с застрявшей в печени рыбьей костью

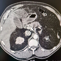
Медики Кущевской центральной районной больницы спасли пациента с рыбьей костью в печени, мужчина три недели не обращался к врачам и занимался самолечением. Об этом в Telegram-канале сообщил министр здравоохранения Краснодарского края Евгений Филиппов.

Мужчина оказался на операционном столе из-за случайно проглоченной рыбьей кости, три недели он испытывал недомогание, но занимался самолечением. Когда состояние ухудшилось, кубанец обратился за медицинской помощью.

В ходе обследования медики обнаружили, что рыбья кость успела пробить кишечник и застряла в тканях печени. Было принято решение о проведении хирургического вмешательства. Операция прошла успешно, инородное тело удалось извлечь. Спустя трое суток мужчина был выписан на амбулаторное лечение.

До этого в Подмосковье спасли женщину с рыбной костью в пищеводе. 50-летняя пациентка поступила в учреждение с жалобами на дискомфорт в горле, сильное слюноотделение и боли в грудном отделе. Женщина призналась, что пару дней назад проглотила кусок рыбы, в котором была кость. Предположив, что кость застряла у нее в пищеводе, пациентка пыталась протолкнуть ее дальше с помощью твердой пищи, но ей стало только хуже.

Ранее российские врачи спасли мужчину, который проглотил 27 зажигалок.

{
    "_essence": "video",
    "media_position": "bottom",
    "uid": "_id_video_media_26423786_rnd_4",
    "video_id": "record::21c90728-267e-484c-9681-ee7341d91312"
}

 
Как понять, что с вашей самооценкой что-то не так, и как ее починить