На сайте используются cookies. Продолжая использовать сайт, вы принимаете условия
Ok
1 Подписывайтесь на Газету.Ru в MAX Все ключевые события — в нашем канале. Подписывайтесь!
Все новости
Новые материалы +
Размер текста
А
А
А

Двухлетний ребенок проглотил монету и попал в больницу в Татарстане

В Татарстане спасли двухлетнего ребенка, проглотившего монету
true
true
true

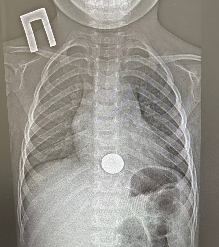
В Татарстане ребенок проглотил монету и попал в больницу. Об этом сообщает пресс-служба ГАУЗ НДРБ с ПЦ.

Инцидент произошел 15 декабря. Малолетний взял у старшего брата монету, чтобы поиграть с ней, и случайно ее проглотил. Ребенок сразу рассказал об этом родителям, и мать оперативно доставила его в больницу. Мальчик жаловался на боль за грудиной.

Пациенту провели рентген и обнаружили у него инородное тело в пищеводе, детский врач выполнил эндоскопическое удаление монетки. Вся процедура заняла около минуты.

После проведения манипуляций ребенка для наблюдения перевели в хирургическое отделение. Уже на следующий день его выписали домой в удовлетворительном состоянии.

Ранее в ХМАО двухлетний мальчик наглотался магнитов.

Что думаешь?
Загрузка
 
Гонконгский грипп — 2025: почему он доводит до больницы, а заражаются даже привитые