Размер шрифта
Новости Спорт
Выйти
США и Израиль атаковали ИранПереговоры о мире на Украине
Общество

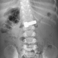
Годовалый ребенок попал в больницу, проглотив металлический болт

В Подмосковье врачи спасли ребенка с болтом в желудке

В Московской области врачи спасли годовалого ребенка, который случайно проглотил крупный металлический болт. Об этом сообщает Минздрав региона.

Годовалый ребенок играл и случайно проглотил болт, родители сразу вызвали скорую помощь. В приемном отделении ребенку сделали рентген, который подтвердил нахождение инородного тела в желудке. Врачи-эндоскописты оперативно провели процедуру по извлечению предмета с помощью специальной петли, которая заняла около 15 минут.

По словам медиков, благодаря быстрой реакции родителей, болт не успел причинить серьезного вреда. В противном случае инородное тело могло привести к непроходимости или повреждению стенок желудочно-кишечного тракта. Состояние маленького пациента оценивается как стабильное.

До этого в ХМАО двухлетний мальчик наглотался магнитов. Во время экстренной операции в толстой кишке обнаружили 19 магнитов и двойную перфорацию. Инородные тела были удалены, поврежденные участки ушиты. После операции мальчик шесть суток провел в отделении реанимации.

Ранее в Сургуте спасли ребенка, который наглотался магнитов.

 
Сотрудники на «коротком поводке». Как компании сговариваются держать низкие зарплаты и не давать вам расти
На сайте используются cookies. Продолжая использовать сайт, вы принимаете условия
Ok
1 Подписывайтесь на Газету.Ru в MAX Все ключевые события — в нашем канале. Подписывайтесь!