Размер шрифта
Новости Спорт
Выйти
США и Израиль атаковали ИранБлокировка TelegramПереговоры о мире на Украине
Общество

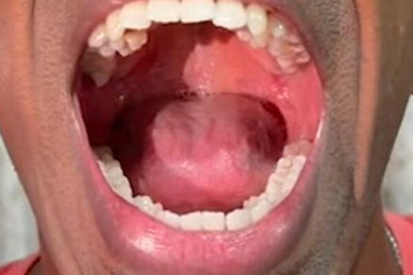
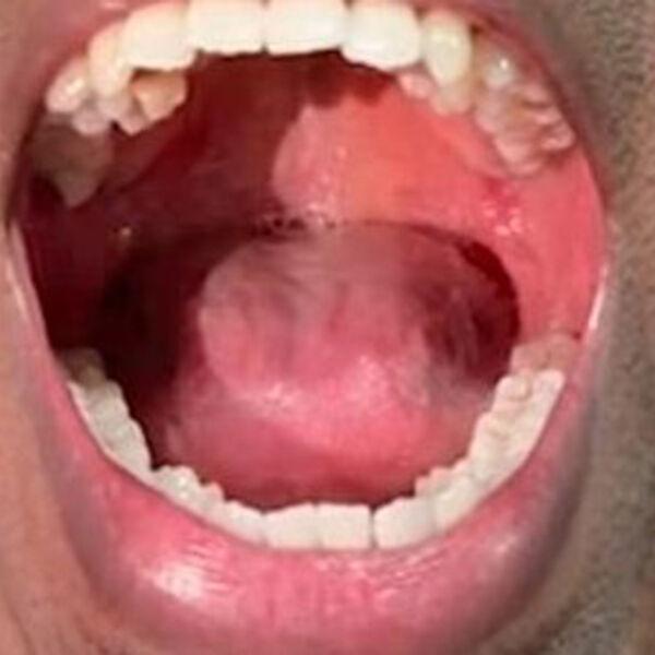
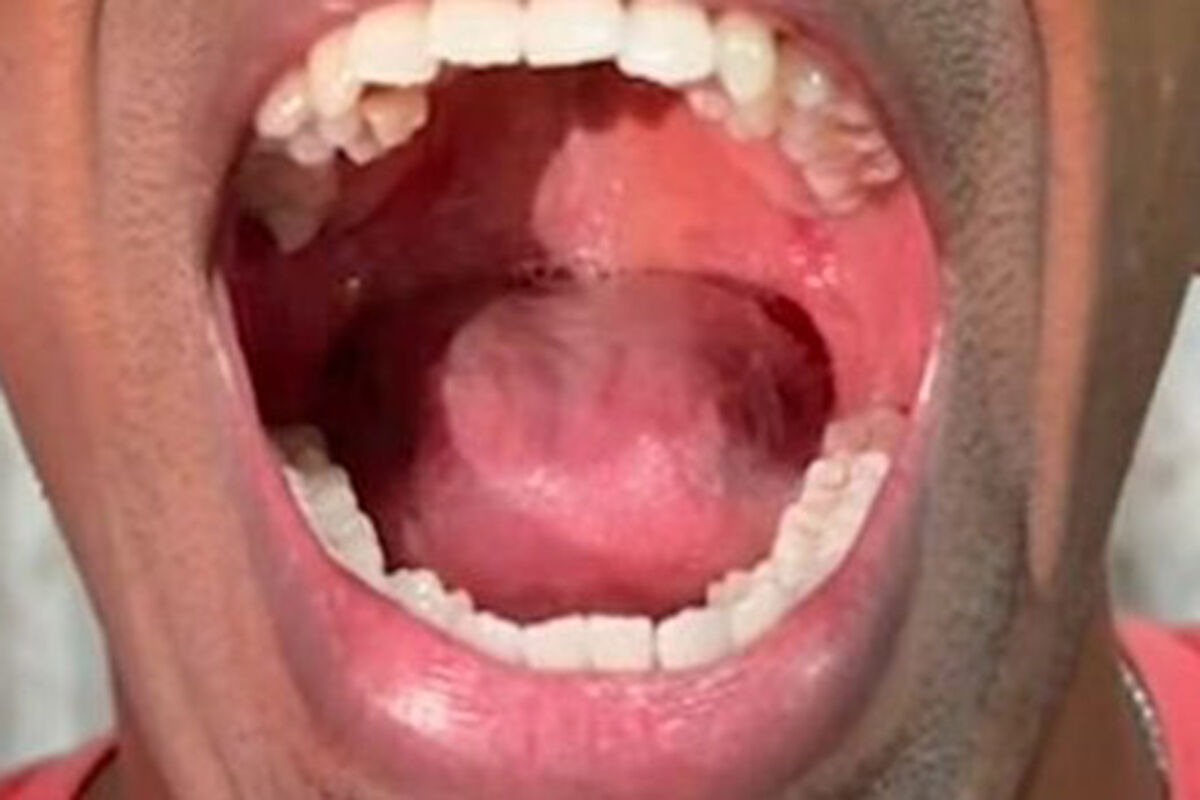
Малайзиец установил мировой рекорд по количеству зубов во рту

UPI: малайзиец с 42 зубами попал в Книгу рекордов Гиннесса

Мужчина из Малайзии установил мировой рекорд по количеству зубов во рту, пишет UPI.

33-летний житель Малайзии Пратхаб Мунианди официально внесен в Книгу рекордов Гиннесса за наибольшее количество зубов у мужчины. У него во рту насчитали 42 зуба — на десять больше, чем у среднего человека.

По словам Мунианди, впервые он заметил необычную особенность в 2021 году во время семейного чаепития. Тогда он рассказал родственникам, что у него, вероятно, растут лишние зубы. Вместе они пересчитали их и обнаружили 38 зубов. Позже рентген показал, что еще четыре зуба пока не прорезались.

К началу 2023 года стало ясно, что общее число зубов достигает 42. При этом, как отметил мужчина, большинство из них выросли ровно и не вызывают осложнений.

Пратхаб рассказал, что лишние зубы не доставляют ему дискомфорта, а окружающие обычно не замечают разницы, пока он сам об этом не расскажет. Во время обследования, необходимого для подачи заявки в Книгу рекордов Гиннесса, стоматологи сообщили еще одну неожиданную новость: у рекордсмена есть еще два зуба, которые пока не прорезались.

«Это потрясающее и по-настоящему особенное ощущение — знать, что у меня есть мировой рекорд по наибольшему числу зубов», — прокомментировал малайзиец.

Ранее мужчина поцеловал девушку 146 раз за 30 секунд и установил рекорд Гиннесса.

 
Когда вас не смогут сократить на работе и на что рассчитывать, если это все-таки случится? Разбор
На сайте используются cookies. Продолжая использовать сайт, вы принимаете условия
Ok
1 Подписывайтесь на Газету.Ru в MAX Все ключевые события — в нашем канале. Подписывайтесь!