Размер шрифта
Новости Спорт
Выйти
Война США и Израиля против ИранаПереговоры о мире на Украине
Общество

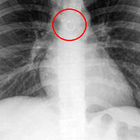
Женщина обнаружила, что потерянное кольцо в носу попало в ее легкие

Fox News: мексиканка случайно проглотила кольцо из носа, которое попало в легкие

В Мексике женщина обнаружила, что потерянное кольцо в носу попало в ее легкие, пишет Fox News.

По словам Моники Барахас, она долгое время думала, что кашель связан с погодой или простудой. Лишь спустя больше месяца, когда симптомы не проходили, она обратилась к врачу.

Во время обследования выяснилось, что украшение из пирсинга в носу каким-то образом оказалось глубоко в дыхательных путях девушки и застряло в легких. Металлический элемент находился всего в полумиллиметре от аорты, что могло привести к опасным последствиям, добавили медики.

Первая операция, которая должна была занять около 20 минут, затянулась более чем на час. Врачи не смогли сразу извлечь предмет, поскольку он уже начал прикрепляться к внутренним тканям.

Из-за высокого риска кровотечения девушке Монике потребовалось повторное, более сложное хирургическое вмешательство. По ее словам, перед операцией она даже написала прощальное письмо близким, опасаясь худшего исхода.

После пережитого Барахас заявила, что больше не планирует носить пирсинг в перегородке носа, несмотря на любовь к украшениям.

Ранее женщина случайно проглотила булавку, когда ковырялась в зубах.

 
Пасхальное перемирие с Украиной в 2026 году — что с ним не так и есть ли шанс не возвращаться к ударам
На сайте используются cookies. Продолжая использовать сайт, вы принимаете условия
Ok
1 Подписывайтесь на Газету.Ru в MAX Все ключевые события — в нашем канале. Подписывайтесь!