Размер шрифта
Новости Спорт
Выйти
Падение БПЛА в РумынииВойна США и Израиля против ИранаПМЭФ-2026
Технологии

Девушка Павла Дурова заявила, что может только отдыхать из-за перелома

Встречающаяся с Павлом Дуровым Юлия Вавилова сломала плюсневую кость

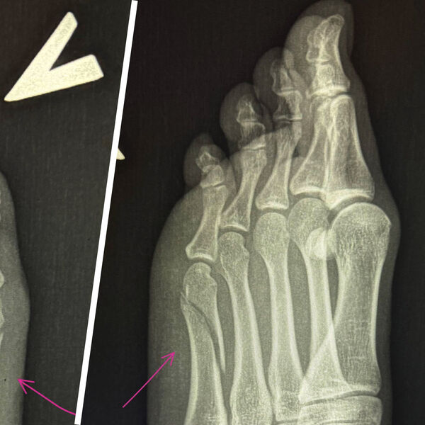
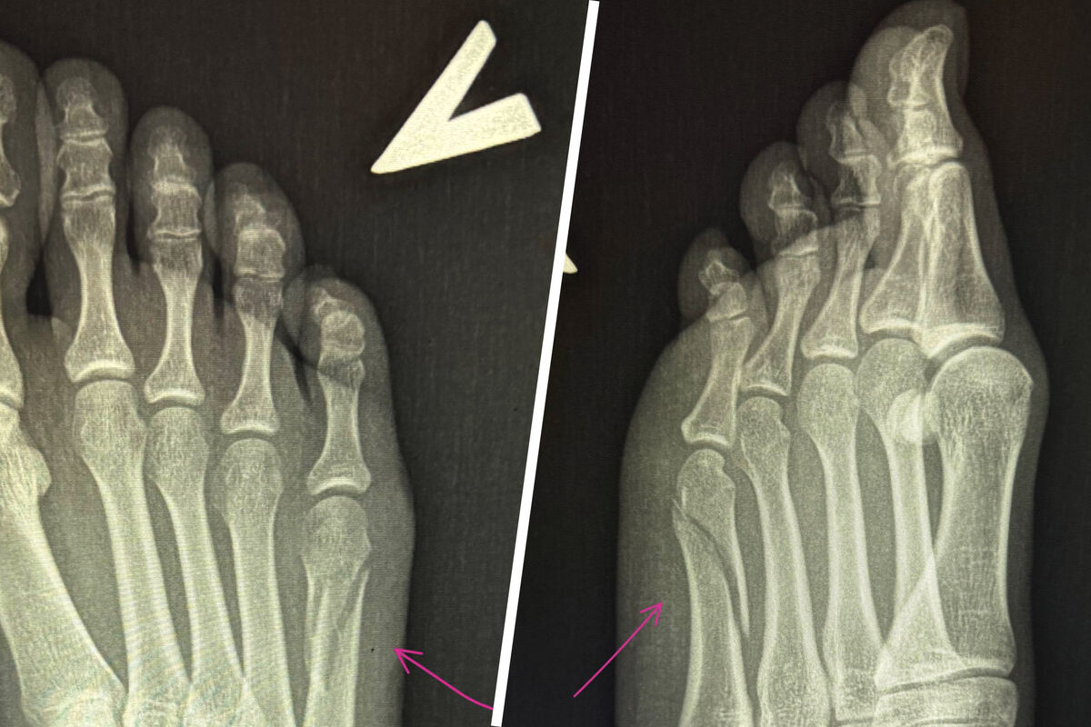
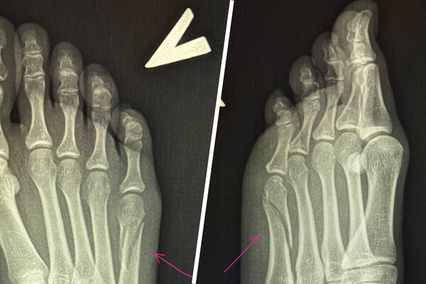
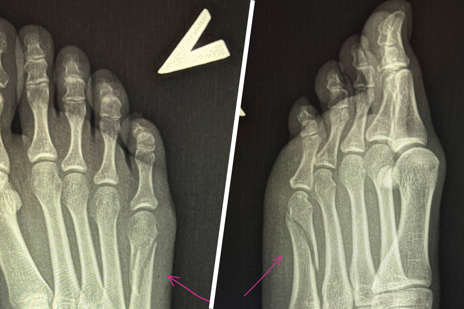
Криптокоуч и возлюбленная Павла Дурова, Юлия Вавилова, получила перелом плюсневой кости. Информацию об этом она разместила в своем Telegram-канале Vavia's.

Вавилова опубликовала сообщение в ночь на 28 сентября 2025 года, приложив к нему рентгеновские снимки, на которых видна трещина в кости, ведущей к мизинцу. Она отметила, что из-за травмы не может заниматься привычными делами и вынуждена оставаться дома для отдыха.

«Забавная история (хотя на самом деле не очень): сломала кость (до этого я никогда ничего не ломала)», – написала девушка Дурова.

В своем посте Вавилова поделилась, что инцидент произошел, когда она спускалась по лестнице и не заметила одну из ступеней. Она подчеркнула важность замедления темпа жизни и заботы о себе, призвав своих подписчиков не забывать о необходимости отдыха и возможности уделить время себе.

На Telegram-канал Вавиловой подписаны почти 57 тыс. человек. Пост о переломе за несколько часов собрал больше 13,3 тыс. просмотров и свыше 1000 реакций.

Ранее выяснилось, что из-за смартфонов у женщин менструальные циклы потеряли связь с Луной.

 
Пожар на топливохранилище после атаки ВСУ, бензин по талонам и «развод» для отслуживших. Что нового к утру 31 мая
На сайте используются cookies. Продолжая использовать сайт, вы принимаете условия
Ok
1 Подписывайтесь на Газету.Ru в MAX Все ключевые события — в нашем канале. Подписывайтесь!