Размер шрифта
Новости Спорт
Выйти
Операция США в Венесуэле и захват МадуроГибель детей в роддоме НовокузнецкаПротесты в Иране — 2026
Семья и дети. Новости

Российские врачи спасли девочку с расширенным в пять раз пищеводом

В Подмосковье врачи спасли девятилетнюю девочку с расширенным в 5 раз пищеводом

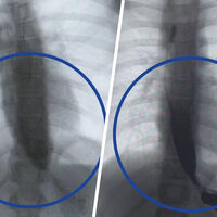
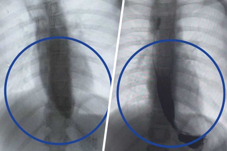
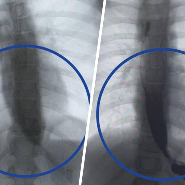
Врачи Детского клинического центра им. Л.М. Рошаля спасли девятилетнюю девочку с редким заболеванием — ахалазией кардии, из-за которого ее пищевод был расширен в пять раз. Об этом сообщили в пресс-службе минздрава Московской области.

Медики рассказали, что пищевод пациентки из-за патологии был расширен до четырех сантиметров, при норме в семь — десять миллиметров.

Специалисты объяснили, что девочка не могла питаться и практически не набирала вес из-за того, что у нее не расслаблялась нижняя часть пищевода, что препятствовало попаданию пищи в желудок.

«Мы через разрез в пищеводе создали подслизистый туннель и рассекли циркулярные мышцы, блокирующие проход пищи», — поделился заведующий отделением эндоскопических методов диагностики больницы Александр Иноземцев.

Операция прошла успешно, что уже на следующий день показало контрастное исследование — пища стала беспрепятственно поступать в желудок.

Ранее в Москве врачи спасли девочку с огромным количеством камней в желчном пузыре.

{
    "_essence": "video",
    "media_position": "bottom",
    "uid": "_id_video_media_26874758_rnd_6",
    "video_id": "record::39d61310-833d-455c-b1e8-2a8c891a7ea3"
}

 
Ни слова руками. Как научиться контролировать свой язык тела и читать чужой