Размер шрифта
Новости Спорт
Выйти
США и Израиль атаковали ИранПереговоры о мире на Украине
Общество

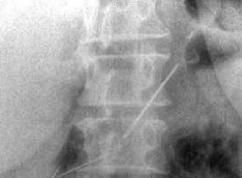
Пожилая женщина наглоталась швейных игл в Подмосковье

В Подмосковье пенсионерка наглоталась швейных игл

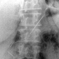
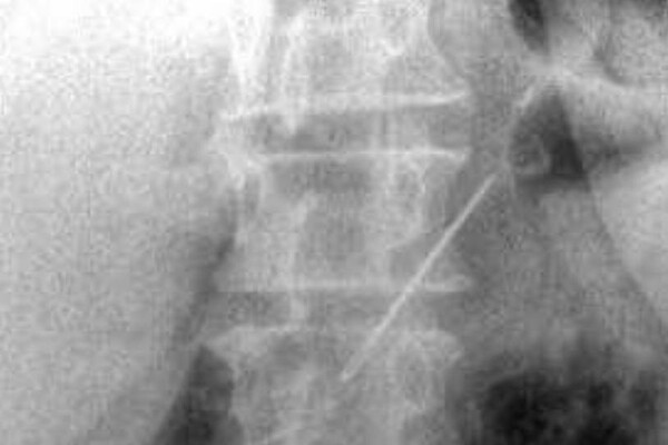
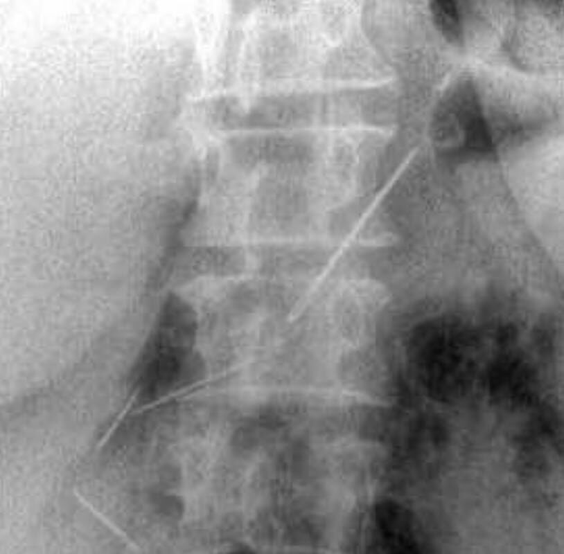
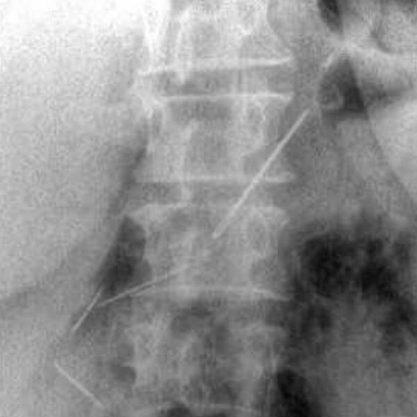
В Подмосковье 59-летняя женщина попала в больницу, наглотавшись швейных игл. Об этом сообщает Telegram-канал «Осторожно, Москва».

Пожилая женщина обратилась в Красногорскую больницу с жалобами на боли в животе. Пациентку обследовали и выяснили, что у нее в брюшной полости и одной передней брюшной стенке находятся четыре иглы.

Выяснилось, что женщина проглотила их около месяца назад — при каких обстоятельствах это случилось, не уточняется. За время нахождения в организме иглы успели обрасти тканями.

Медики провели пациентке лапаротомию и удалили все инородные предметы. Одна из игл проникла в поджелудочную железу, но орган все же удалось сохранить. Вмешательство прошло успешно.

Ранее российские врачи спасли мужчину, который проглотил кусок стекла.

 
Рекордная волна новых ГОСТов: зачем изменят 2000 стандартов и как это повлияет на продукты
На сайте используются cookies. Продолжая использовать сайт, вы принимаете условия
Ok
1 Подписывайтесь на Газету.Ru в MAX Все ключевые события — в нашем канале. Подписывайтесь!